产品和服务 / 产品类型 / 抗体产品 / 单克隆抗体

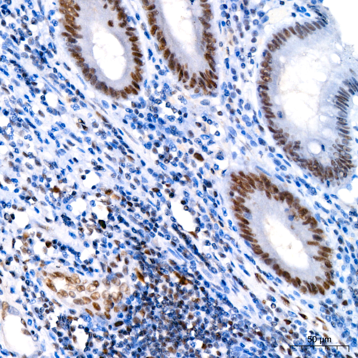
MLH1抗体试剂(免疫组织化学) (A4858)

  • 反应物种:Human, Mouse
  • 验证应用:IHC-P
  • 同  种  型:IgG
  • 验证数据展示
  • 对比数据展示
货号: A4858
促销价:   ¥1400
货    期: 缺货 4周以上
抗体定制
服务咨询
|
扫码下单
享受积分

详细信息

推荐稀释比
浓度查询

请输入产品标签上的lot号,例如4000000001

免疫原
Synthetic peptide. This information is considered to be commercially sensitive.
理论分子量
85kDa
克隆号
ARC53543(鄂汉械备20230535号)
产品形式
Liquid
偶联物
Unconjugated
理论分子量
85kDa
克隆号
ARC53543(鄂汉械备20230535号)
产品形式
Liquid
偶联物
Unconjugated
细胞定位
Nucleus.
存储缓冲液
Store at -20℃. Avoid freeze / thaw cycles.
Buffer: PBS containing 50% glycerol and 0.05% BSA, preserved with proclin300 or sodium azide (as specified on the Certificate of Analysis), pH 7.3.
纯化方式
Affinity purification

COA文件下载

折叠内容
说明书
COA报告查询

实验方案

折叠内容

背景信息

The protein encoded by this gene can heterodimerize with mismatch repair endonuclease PMS2 to form MutL alpha, part of the DNA mismatch repair system. When MutL alpha is bound by MutS beta and some accessory proteins, the PMS2 subunit of MutL alpha introduces a single-strand break near DNA mismatches, providing an entry point for exonuclease degradation. The encoded protein is also involved in DNA damage signaling and can heterodimerize with DNA mismatch repair protein MLH3 to form MutL gamma, which is involved in meiosis. This gene was identified as a locus frequently mutated in hereditary nonpolyposis colon cancer (HNPCC).
基因ID
Swiss Prot
别名
FCC2; COCA2; HNPCC; MLH-1; hMLH1; HNPCC2; LYNCH2; MMRCS1; H1

关联靶点

MLH1为关键词搜索文献记录,得到上述基因与MLH1的研究紧密相关,排序顺序根据研究相关程度由高到低决定。(所显示数字代表两者共同出现的已发表文献数量)
1/
MLH1为关键词搜索文献记录,得到上述相关热词信息,可反映出MLH1的研究趋势与热点。(关联领域与基因名称的距离代表其研究热度)

ABclonal公司的抗体,可以回收利用几次?

首先,一般抗体不推荐客户回收利用,抗体使用之后缓冲体系已经发生改变,不同客户在回收抗体的保存条件上也会有差异,所以抗体回收使用效果无法保证。另外,ABclonal公司也做过一批抗体回收验证测试,测试结果显示不同抗体可回收次数不同,一般效价越高的抗体,可重复使用的次数越多,客户可根据实验情况来确定。
注:我们将孵育完毕后剩余的抗体回收到离心管中置于4℃保存,效价高的抗体可至少保存1周,至少重复利用3次。

展开

ABclonal作为国产抗体品牌的优势?

武汉爱博泰克生物(ABclonal)科技有限公司是国产品牌,她成立于2011年,公司依托ABclonal美国波士顿抗体与蛋白研发中心、中国光谷生物城(武汉)抗体生产基地以及上海张江分子酶研发中心,凝聚了十余位来自哈佛大学、麻省理工、复旦大学、上海交大、中科院生化细胞所和武汉大学的全球知名分子和免疫学方面博士,组成我们的科学家团队,通过聚焦抗体与酶核心技术,致力于打破国际技术的垄断,将公司打造成为科研工具和诊断原料的国内领导品牌,乃至弯道超越国际巨头。 我们拥有包括兔多克隆抗体、小鼠单克隆抗体、兔单克隆抗体的生产研发平台,同时也有包括WB,IHC,IF,IP,CHIP在内的检测平台,我们对每一支自产的抗体进行了严格的检测。当然,我们部分直销地区也可以帮客户代购进口品牌的产品。同时也有抗体定制服务。ABclonal抗体优势:1,严自检,保质量;2产品多,指标全;3,价格低,货期短。注:ABclonal抗体价格体系详情见附件

展开

ABclonal抗体成分?

ABclonal抗体成分在平时工作当中,常会有客户咨询我们的抗体用的什么buffer进行保存,一般来说,我们的buffer的成分是:PBS含0.03%的proclin300、0.05%牛血清白蛋白、50%甘油;也有一些是PBS含0.03%的proclin300,50%甘油。防腐剂 Proclin 300活性成分主要是2-甲基-4-异噻唑啉-3-酮(MCI)和5-氯-2-甲基-4-异噻唑啉-3-酮(CMCI)。ProClin生物灭活剂能够迅速穿透细胞膜,抑制对细胞呼吸至关重要的特定酶,因此一接触微生物有机体就会立即抑制细胞活性。ProClin的多个特定毒性位点可以防止微生物产生高水平的耐药性。

展开

最新浏览的产品