
首页 /
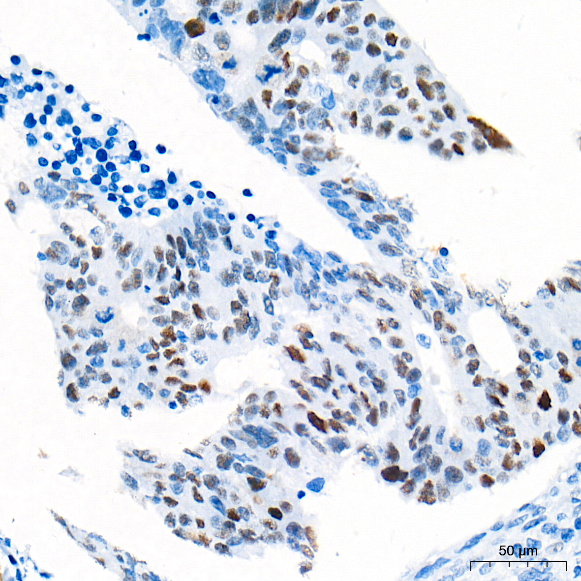
Catalog:A19657
GeneID:1499
Application:WBIHC-PIF/ICCIPChIPChIP-seqRIPFCFC (intra)ELISA(ELISA)MeDIPNucleotide ArrayDBFACSCoIPFCMCUT&TagmeRIPInhibitionSlot blotmIHCIF-PIF-FIHC-F
Reactivity:Human, Mouse, Rat
Synonyms:EVR7; CTNNB; MRD19; NEDSDV; armadillo; in
Type:Rabbit Monoclonal Antibody
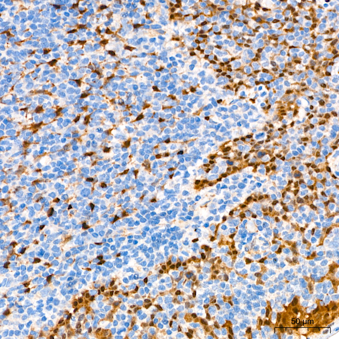
Catalog:A26492
GeneID:3065
Application:WBIHC-PIF/ICCIPChIPChIP-seqRIPFCFC (intra)ELISA(ELISA)MeDIPNucleotide ArrayDBFACSCoIPFCMCUT&TagmeRIPInhibitionSlot blotmIHCIF-PIF-FIHC-F
Reactivity:Human, Mouse
Synonyms:HD1; RPD3; KDAC1; GON-10; RPD3L1
Type:Rabbit Monoclonal Antibody
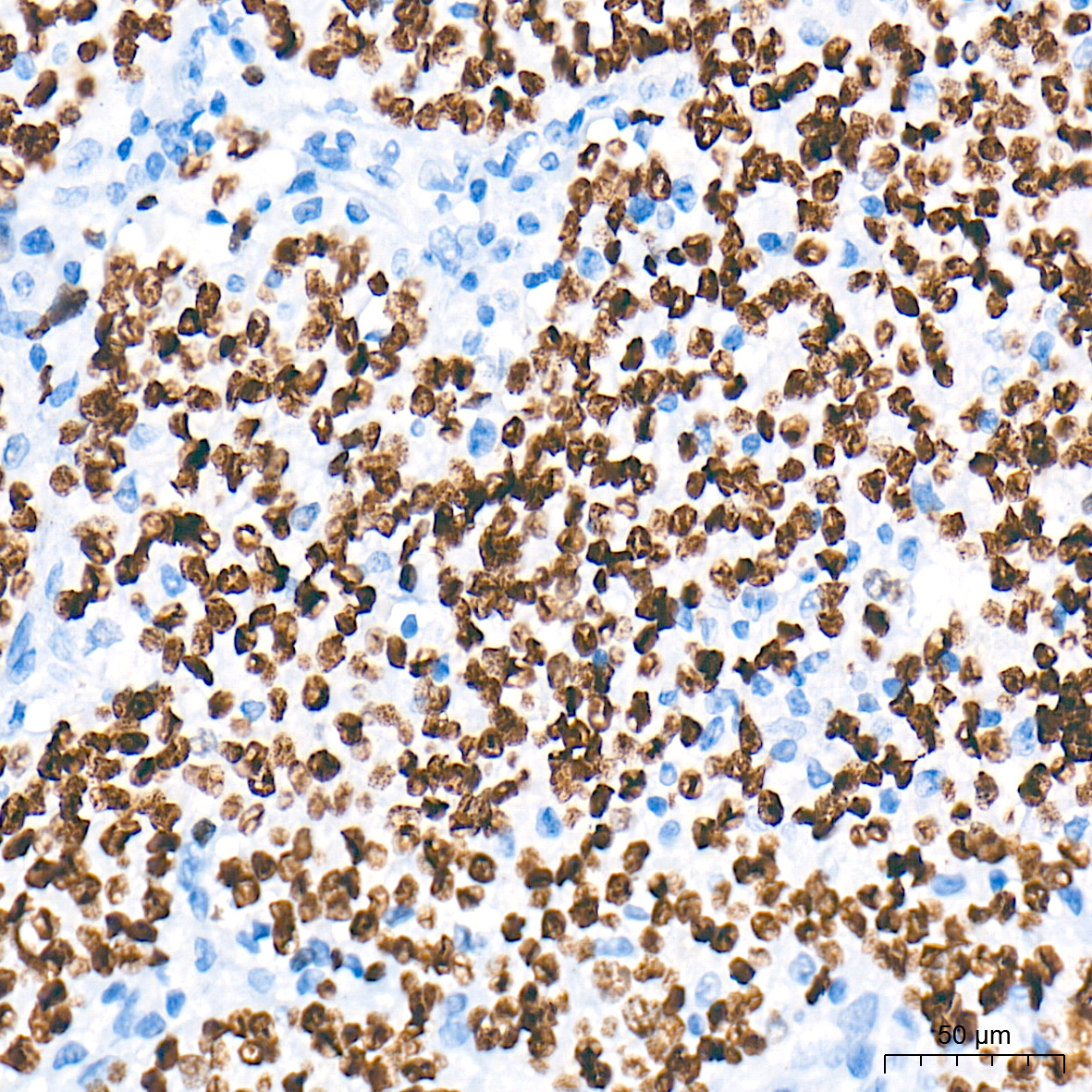
Catalog:A20018
GeneID:4288
Application:WBIHC-PIF/ICCIPChIPChIP-seqRIPFCFC (intra)ELISA(ELISA)MeDIPNucleotide ArrayDBFACSCoIPFCMCUT&TagmeRIPInhibitionSlot blotmIHCIF-PIF-FIHC-F
Reactivity:Human, Mouse, Rat
Synonyms:KIA; MIB-; MIB-1; PPP1R105; Ki67
Type:Rabbit Monoclonal Antibody
Catalog:A17911
GeneID:351
Application:WBIHC-PIF/ICCIPChIPChIP-seqRIPFCFC (intra)ELISA(ELISA)MeDIPNucleotide ArrayDBFACSCoIPFCMCUT&TagmeRIPInhibitionSlot blotmIHCIF-PIF-FIHC-F
Reactivity:Human, Mouse, Rat
Synonyms:AAA; AD1; PN2; ABPP; APPI; CVAP; ABETA; PN-II; preA4; CTFgamma; alpha-sAPP; PP
Type:Rabbit Monoclonal Antibody
Catalog:A19116
GeneID:4089
Application:WBIHC-PIF/ICCIPChIPChIP-seqRIPFCFC (intra)ELISA(ELISA)MeDIPNucleotide ArrayDBFACSCoIPFCMCUT&TagmeRIPInhibitionSlot blotmIHCIF-PIF-FIHC-F
Reactivity:Human, Mouse, Rat
Synonyms:JIP; DPC4; MADH4; MYHRS; d4
Type:Rabbit Monoclonal Antibody
Catalog:A21216
GeneID:10413
Application:WBIHC-PIF/ICCIPChIPChIP-seqRIPFCFC (intra)ELISA(ELISA)MeDIPNucleotide ArrayDBFACSCoIPFCMCUT&TagmeRIPInhibitionSlot blotmIHCIF-PIF-FIHC-F
Reactivity:Human, Mouse, Rat
Synonyms:YAP; YKI; COB1; YAP2; YAP-1; YAP65; P1
Type:Rabbit Monoclonal Antibody
Catalog:A0533
GeneID:3098
Application:WBIHC-PIF/ICCIPChIPChIP-seqRIPFCFC (intra)ELISA(ELISA)MeDIPNucleotide ArrayDBFACSCoIPFCMCUT&TagmeRIPInhibitionSlot blotmIHCIF-PIF-FIHC-F
Reactivity:Human, Mouse, Rat
Synonyms:HK; HKD; HKI; HXK1; NMSR; RP79; HMSNR; HK1-ta; HK1-tb; HK1-tc; NEDVIBA; hexokinase; K1
Type:Rabbit Monoclonal Antibody
Catalog:A27256
GeneID:23411
Application:WBIHC-PIF/ICCIPChIPChIP-seqRIPFCFC (intra)ELISA(ELISA)MeDIPNucleotide ArrayDBFACSCoIPFCMCUT&TagmeRIPInhibitionSlot blotmIHCIF-PIF-FIHC-F
Reactivity:Human, Mouse, Rat
Synonyms:SIR2; SIR2L1; SIR2alpha
Type:Rabbit Monoclonal Antibody
Catalog:A28493
GeneID:7157
Application:WBIHC-PIF/ICCIPChIPChIP-seqRIPFCFC (intra)ELISA(ELISA)MeDIPNucleotide ArrayDBFACSCoIPFCMCUT&TagmeRIPInhibitionSlot blotmIHCIF-PIF-FIHC-F
Reactivity:Human
Synonyms:P53; BCC7; LFS1; BMFS5; TRP53
Type:Rabbit Monoclonal Antibody

Catalog:A28664
GeneID:16784
Application:WBIHC-PIF/ICCIPChIPChIP-seqRIPFCFC (intra)ELISA(ELISA)MeDIPNucleotide ArrayDBFACSCoIPFCMCUT&TagmeRIPInhibitionSlot blotmIHCIF-PIF-FIHC-F
Reactivity:Human, Mouse
Synonyms:Mac3; LGP-B; CD107b; Lamp-2; Lamp II; Lamp-2a; Lamp-2b; Lamp-2c
Type:Rabbit Monoclonal Antibody

Catalog:A28818
GeneID:14148
Application:WBIHC-PIF/ICCIPChIPChIP-seqRIPFCFC (intra)ELISA(ELISA)MeDIPNucleotide ArrayDBFACSCoIPFCMCUT&TagmeRIPInhibitionSlot blotmIHCIF-PIF-FIHC-F
Reactivity:Mouse, Rat
Synonyms:FDX1; ADX; FDX; LOH11CR1D; ferredoxin 1
Type:Rabbit Monoclonal Antibody

Catalog:A28912
GeneID:20846
Application:WBIHC-PIF/ICCIPChIPChIP-seqRIPFCFC (intra)ELISA(ELISA)MeDIPNucleotide ArrayDBFACSCoIPFCMCUT&TagmeRIPInhibitionSlot blotmIHCIF-PIF-FIHC-F
Reactivity:Mouse, Rat
Synonyms:2010005J02Rik
Type:Rabbit Monoclonal Antibody
Catalog:A19653
GeneID:5970
Application:WBIHC-PIF/ICCIPChIPChIP-seqRIPFCFC (intra)ELISA(ELISA)MeDIPNucleotide ArrayDBFACSCoIPFCMCUT&TagmeRIPInhibitionSlot blotmIHCIF-PIF-FIHC-F
Reactivity:Human, Mouse, Rat, Monkey
Synonyms:p65; CMCU; NFKB3; AIF3BL3; NF-kB p65/RelA
Type:Rabbit Monoclonal Antibody
Catalog:A19115
GeneID:4088
Application:WBIHC-PIF/ICCIPChIPChIP-seqRIPFCFC (intra)ELISA(ELISA)MeDIPNucleotide ArrayDBFACSCoIPFCMCUT&TagmeRIPInhibitionSlot blotmIHCIF-PIF-FIHC-F
Reactivity:Human, Mouse, Rat
Synonyms:LDS3; mad3; LDS1C; MADH3; JV15-2; hMAD-3; hSMAD3; HSPC193; HsT17436; d3
Type:Rabbit Monoclonal Antibody
Catalog:A19677
GeneID:9474
Application:WBIHC-PIF/ICCIPChIPChIP-seqRIPFCFC (intra)ELISA(ELISA)MeDIPNucleotide ArrayDBFACSCoIPFCMCUT&TagmeRIPInhibitionSlot blotmIHCIF-PIF-FIHC-F
Reactivity:Human, Mouse, Rat
Synonyms:ASP; APG5; APG5L; hAPG5; SCAR25; APG5-LIKE; G5
Type:Rabbit Monoclonal Antibody