












Western blot analysis of various lysates using TROP-2 Rabbit mAb (A20824) at1:1000 dilution.
Secondary antibody: HRP-conjugated Goat anti-Rabbit IgG (H+L) (AS014) at1:10000 dilution.
Lysates/proteins: 25μg per lane.
Blocking buffer: 3% nonfat dry milk in TBST.
Detection: ECL Basic Kit (RM00020).
Exposure time: 60s.

























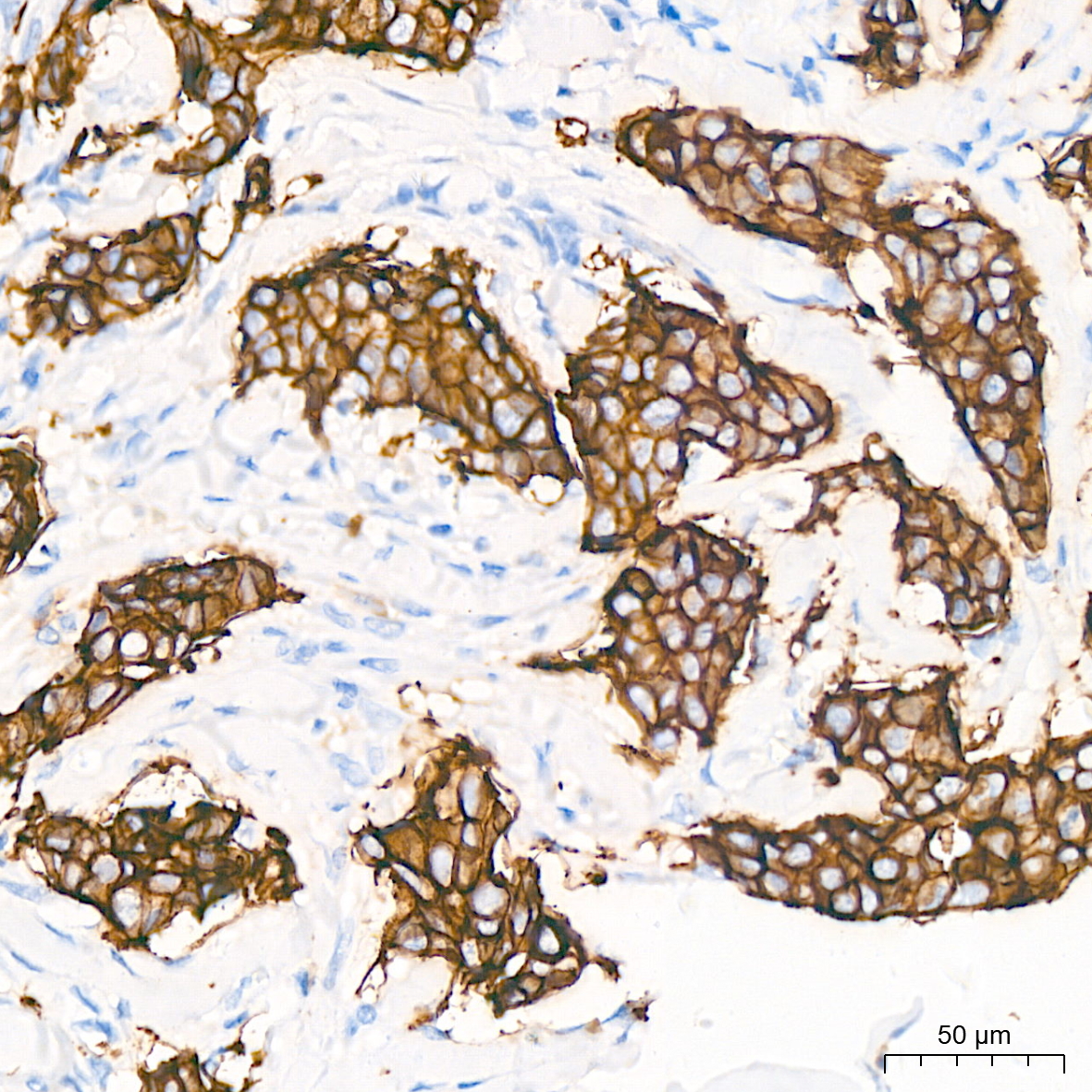
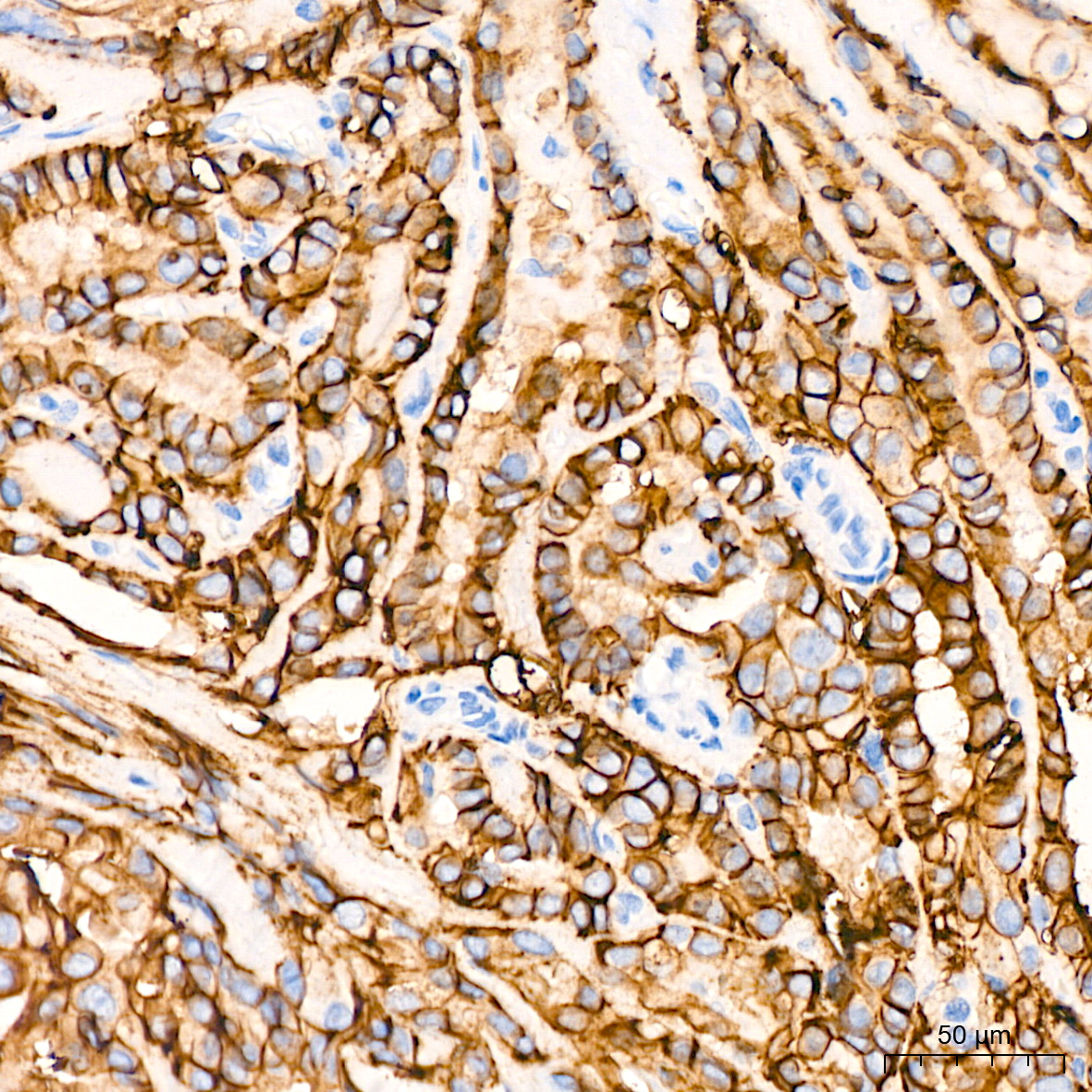
Immunohistochemistry analysis of paraffin-embedded Human breast cancer tissue using TROP-2 Rabbit mAb (A20824) at a dilution of 1:8000 (40x lens). High pressure antigen retrieval performed with 0.01M Citrate buffer (pH 6.0) prior to IHC staining.

























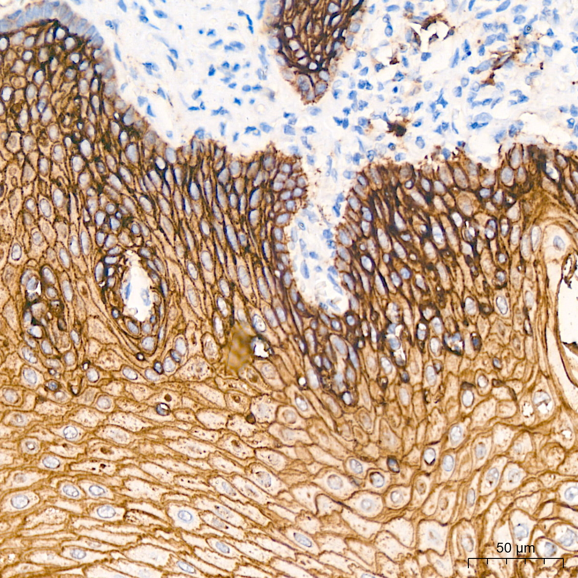
Immunohistochemistry analysis of paraffin-embedded Human esophageal tissue using TROP-2 Rabbit mAb (A20824) at a dilution of 1:8000 (40x lens). High pressure antigen retrieval performed with 0.01M Citrate buffer (pH 6.0) prior to IHC staining.

























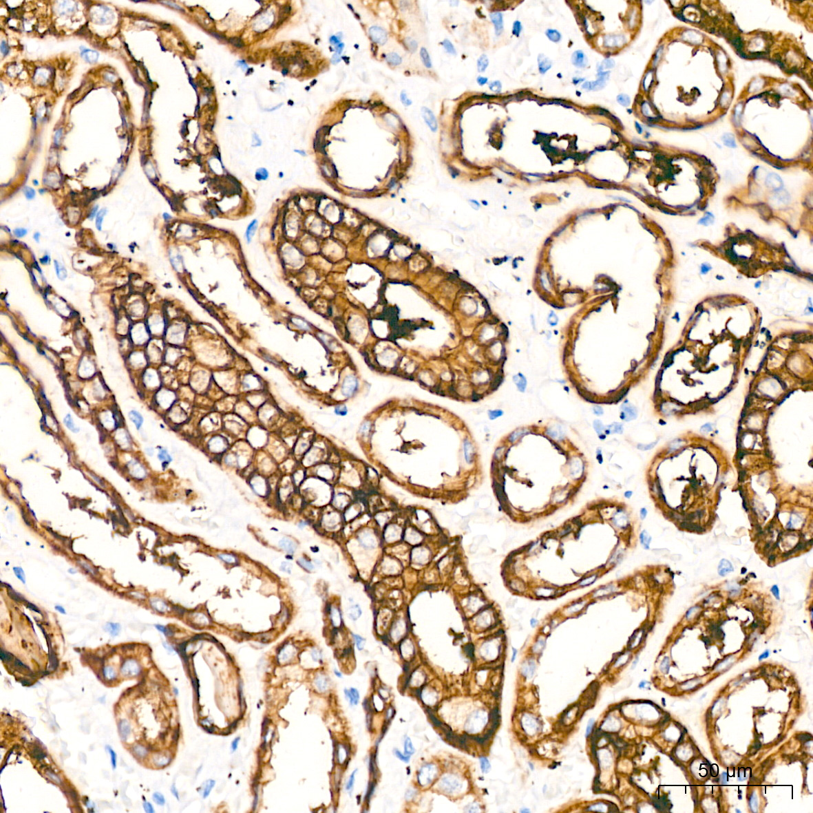
Immunohistochemistry analysis of paraffin-embedded Human kidney tissue using TROP-2 Rabbit mAb (A20824) at a dilution of 1:8000 (40x lens). High pressure antigen retrieval performed with 0.01M Citrate buffer (pH 6.0) prior to IHC staining.

























Immunohistochemistry analysis of paraffin-embedded Human pancreas tissue using TROP-2 Rabbit mAb (A20824) at a dilution of 1:8000 (40x lens). High pressure antigen retrieval performed with 0.01M Citrate buffer (pH 6.0) prior to IHC staining.

























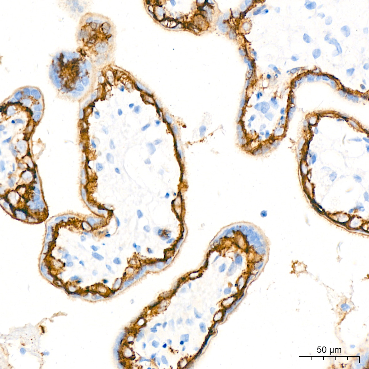
Immunohistochemistry analysis of paraffin-embedded Human placenta tissue using TROP-2 Rabbit mAb (A20824) at a dilution of 1:8000 (40x lens). High pressure antigen retrieval performed with 0.01M Citrate buffer (pH 6.0) prior to IHC staining.

























Immunohistochemistry analysis of paraffin-embedded Human prostate cancer tissue using TROP-2 Rabbit mAb (A20824) at a dilution of 1:8000 (40x lens). High pressure antigen retrieval performed with 0.01M Citrate buffer (pH 6.0) prior to IHC staining.

























Immunohistochemistry analysis of paraffin-embedded Human thyroid cancer tissue using TROP-2 Rabbit mAb (A20824) at a dilution of 1:8000 (40x lens). High pressure antigen retrieval performed with 0.01M Citrate buffer (pH 6.0) prior to IHC staining.

























Immunohistochemistry analysis of paraffin-embedded Human tonsil tissue using TROP-2 Rabbit mAb (A20824) at a dilution of 1:8000 (40x lens). High pressure antigen retrieval performed with 0.01M Citrate buffer (pH 6.0) prior to IHC staining.

























Confocal imaging of paraffin-embedded Human urothelial cancer tissue using TROP-2 Rabbit mAb (A20824, dilution 1:200) followed by a further incubation with Cy3 Goat Anti-Rabbit IgG (H+L) (AS007, dilution 1:500) (Red). DAPI was used for nuclear staining (Blue). High pressure antigen retrieval performed with 0.01M Citrate Buffer (pH 6.0) prior to IF staining. Objective: 40x.

























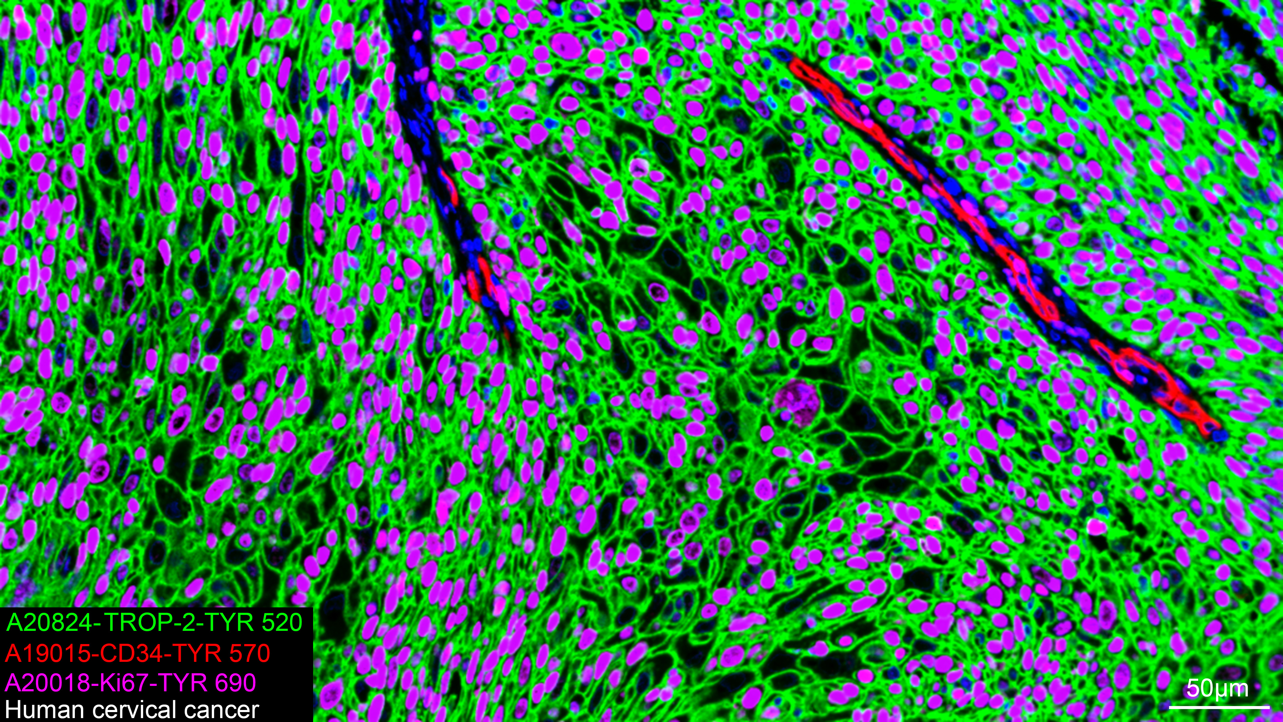
The multiplex IHC analysis on paraffin-embedded Human cervical cancer tissue using the following specific primary antibodies and tyramide signal amplification (TSA) reagents (RK05903) : TROP-2 Rabbit mAb (A20824, 1:8000) with TSA-TYR-520 (Green), CD34 Rabbit mAb (A19015, 1:100) with TSA-TYR-570 (Red), and Ki67 Rabbit mAb (A20018, 1:500) with TSA-TYR-690 (Magenta). DAPI (Blue) was used for nuclear staining. Prior to multiplex IHC staining, high-pressure antigen retrieval was performed using 0.01M citrate buffer at pH 6.0. The analysis was completed using a 20x objective lens.

























The multiplex IHC analysis on paraffin-embedded Human breast cancer tissue using the following specific primary antibodies and tyramide signal amplification (TSA) reagents (RK05903) : TROP-2 Rabbit mAb (A20824, 1:8000) with TSA-TYR-520 (Green), CD34 Rabbit mAb (A19015, 1:100) with TSA-TYR-570 (Red), and Ki67 Rabbit mAb (A20018, 1:500) with TSA-TYR-690 (Magenta). DAPI (Blue) was used for nuclear staining. Prior to multiplex IHC staining, high-pressure antigen retrieval was performed using 0.01M citrate buffer at pH 6.0. The analysis was completed using a 20x objective lens.












| WB (Western Blot) | Human |
|---|
请输入产品标签上的lot号,例如4000000001
Publishing research using A20824? Please let us know so that we can cite the reference in this datasheet.
Journal
Cell biochemistry and biophysics
This intronless gene encodes a carcinoma-associated antigen. This antigen is a cell surface receptor that transduces calcium signals. Mutations of this gene have been associated with gelatinous drop-like corneal dystrophy.
* 该数据来源于赛特新思(citexs.com)
来自于发表文献,仅供参考所用,ABclonal不承担任何责任。
暂无以TACSTD2为关键词搜索的文献记录。
该服务由赛特新思提供,上述关联分析来自已发表文献,仅供参考所用,ABclonal不承担任何责任。
首先,一般抗体不推荐客户回收利用,抗体使用之后缓冲体系已经发生改变,不同客户在回收抗体的保存条件上也会有差异,所以抗体回收使用效果无法保证。另外,ABclonal公司也做过一批抗体回收验证测试,测试结果显示不同抗体可回收次数不同,一般效价越高的抗体,可重复使用的次数越多,客户可根据实验情况来确定。
注:我们将孵育完毕后剩余的抗体回收到离心管中置于4℃保存,效价高的抗体可至少保存1周,至少重复利用3次。
武汉爱博泰克生物(ABclonal)科技有限公司是国产品牌,她成立于2011年,公司依托ABclonal美国波士顿抗体与蛋白研发中心、中国光谷生物城(武汉)抗体生产基地以及上海张江分子酶研发中心,凝聚了十余位来自哈佛大学、麻省理工、复旦大学、上海交大、中科院生化细胞所和武汉大学的全球知名分子和免疫学方面博士,组成我们的科学家团队,通过聚焦抗体与酶核心技术,致力于打破国际技术的垄断,将公司打造成为科研工具和诊断原料的国内领导品牌,乃至弯道超越国际巨头。 我们拥有包括兔多克隆抗体、小鼠单克隆抗体、兔单克隆抗体的生产研发平台,同时也有包括WB,IHC,IF,IP,CHIP在内的检测平台,我们对每一支自产的抗体进行了严格的检测。当然,我们部分直销地区也可以帮客户代购进口品牌的产品。同时也有抗体定制服务。ABclonal抗体优势:1,严自检,保质量;2产品多,指标全;3,价格低,货期短。注:ABclonal抗体价格体系详情见附件
ABclonal抗体成分在平时工作当中,常会有客户咨询我们的抗体用的什么buffer进行保存,一般来说,我们的buffer的成分是:PBS含0.03%的proclin300、0.05%牛血清白蛋白、50%甘油;也有一些是PBS含0.03%的proclin300,50%甘油。防腐剂 Proclin 300活性成分主要是2-甲基-4-异噻唑啉-3-酮(MCI)和5-氯-2-甲基-4-异噻唑啉-3-酮(CMCI)。ProClin生物灭活剂能够迅速穿透细胞膜,抑制对细胞呼吸至关重要的特定酶,因此一接触微生物有机体就会立即抑制细胞活性。ProClin的多个特定毒性位点可以防止微生物产生高水平的耐药性。