
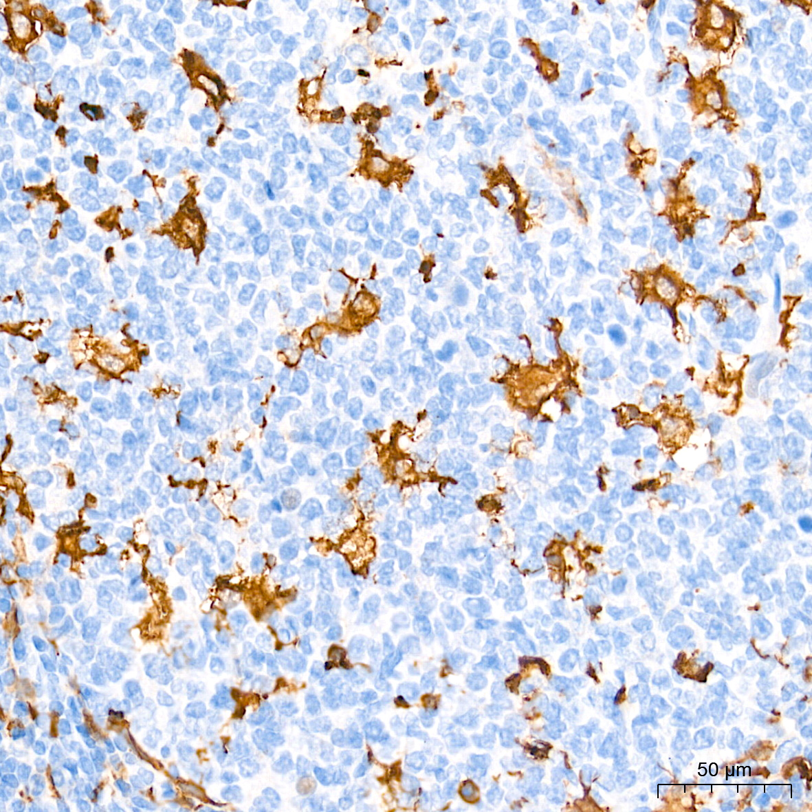
研究大脑和神经系统不仅需要检查神经元,而且还需要检查神经上皮细胞,胶质细胞。显示和识别这些各种细胞类型的关键在于使用靶向这些细胞内特异性表达并位于这些细胞内的蛋白生物标记物的抗体。下面列出了研究中最常见的一些标志物:
| 细胞类型 | 常见标志物 |
|---|---|
| 神经上皮细胞 | E-cadherin, Nestin, SOX2, Notch1, HES1, Occludin |
| 放射状胶质细胞 | EAAT1/SLC1A3, Vimentin, Nestin, PAX6, HES1, HES5, GFAP, GLAST, BLBP, TN-C, N-cadherin, SOX2 |
| 少突胶质细胞 | CNPase, MBP, PDGFR alpha, NG2, Olig 1, Olig 2, Olig 3, MBP, OSP, MOG, SOX10 |
| 雪旺细胞 | MPZ, NCAM, GAP43, S100B, P75NTR |
| 星形胶质细胞 | GFAP, EAAT1/GLAST, EAAT2/GLT-1, GLUL, S100B, ALDH1L1, AFT2, SOX9 |
| 小胶质细胞 | AIF1/IBA1, ASC/TMS1, CD68, PU.1, CD11b, CD45, CX3CR1, F4/80, CD40 |
| 神经元 | βIII-Tubulin |
| 成熟神经元 | MAP2, Neurofilament H, Neurofilament L, PSD95, Synaptophysin, NeuN |
| 未成熟神经元 | TBR1, Doublecortin, βIII-Tubulin, NeuroD1, TBR1, Stathmin 1 |
| 谷氨酸能神经元 | GLS, NMDAR1, VGLUT1, VGLUT2, NMDAR1, NMDAR2B, Glutamine Synthetase |
| GABA能神经元 | GAD65/GAD2, PENK |
| 多巴胺能神经元 | TH |
| 5-羟色胺能神经元 | SLC6A4 |
| 胆碱能神经元 | CHAT |