C型凝集素受体通路

C型凝集素受体(CLRs)是一系列可溶性和跨膜蛋白构成的蛋白家族,主要结合基于碳水化合物的病原体相关分子模式(PAMPs),包括海藻糖6’,6’-二聚叶酸(TDM)、脂阿拉伯甘露聚糖(LAM)、脂甘露聚糖 (LM)和磷脂酰肌醇甘露糖苷(PIMS)。CLRs与这些PAMPs的相互作用并诱导细胞内信号转导,触发细胞因子的产生及诱导适应性免疫反应。此外,一些CLRs可以被自身损伤信号激活。
基于信号转导的方式和能力,CLRs可以进一步被细分为免疫感受器酪氨酸激活基序(ITAM)偶联的CLRs、间接携带ITAM的CLRs、免疫感受器酪氨酸抑制基序(ITIM)包含的CLRs和一组缺乏典型信号基序的CLRs。通过位于这些受体胞浆部分的ITAM样基序,ITAM偶联的CLRs可以直接诱导细胞内信号,而间接携带ITAM的CLRs可以通过受体偶联的接头分子(如FcRγ或DAP12)带有的ITAM间接诱导细胞内信号转导。通过这两种机制偶联的信号转导都涉及到Syk,活化的Syk会造成PLCγ2激活和ROS的产生。PLCγ2将细胞膜磷脂PIP2切割成二级信使IP3和DAG,导致PKCδ和Ca2+信号级联的激活。PKCδ激活将促进CARD9、Bcl10和Malt1形成复合体。这种复合体将导致几个下游分子的激活,包括NF-κB、多种MAPK、ASC和Caspase-8。Ca2+信号级联包括钙调神经磷酸酶依赖的NF-AT激活,它与NF-κB和多种MAPK协同调节基因转录和细胞反应,包括细胞吞噬、DC成熟、细胞趋化、呼吸爆发、炎症激活、细胞因子和其他介质的产生。由ROS诱导的NLRP3炎症小体和CARD9/Bcl10/Malt1招募的caspase-8将将IL-1β和IL-18的前体切割为成熟形式,以诱导抗真菌免疫中的保护作用。Dectin-1信号通路也诱导Ras-GRF1的Syk依赖性激活,它通过CARD9接头蛋白招募H-Ras,并最终导致ERK激活。对于含有ITIM的CLRs,他们将招募蛋白酪氨酸磷酸酶SHP1/2来抑制几种TLRs介导的NF-kB激活和下游效应。此外,多种证据表明,CLRs会与其他PRRs(特别是TLRs)协同作用,实现最佳的微生物识别和免疫监控。

ABclonal针对C型凝集素受体通路研究,提供以下常见核心靶点的产品

[KO Validated] Caveolin-1 Rabbit mAb

PKC delta Rabbit mAb

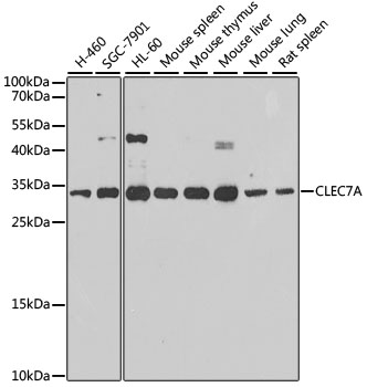
CLEC7A Rabbit pAb

Phospho-PLC gamma 1 (PLCG1)-S1248 Rabbit pAb

IKKβ Rabbit mAb

Phospho-Raf1-S621 Rabbit mAb

ERK1/2 Rabbit mAb

Phospho-ERK1-T202 + ERK2-T185 Rabbit mAb

CLR信号通路精选研究产品

分类
研究靶点 产品名称 产品货号
CLR家族成员
CLEC7ACLEC7A Rabbit pAbA9883
CLEC4DCLEC4D Rabbit pAbA2697
CD209CD209 Rabbit mAbA9649
CLEC10ACD301/CLEC10A Rabbit pAbA11859
CLEC12ACLEC12A Rabbit pAbA6250
信号转导分子
SYKSyk Rabbit pAbA2123
SYKPhospho-Syk-Y525/526 Rabbit pAbAP0542
SYKPhospho-Syk-Y323 Rabbit pAbAP0291
PLCG1PLC gamma 1 (PLCG1) Rabbit mAbA8899
PLCG1Phospho-PLC gamma 1 (PLCG1)-S1248 Rabbit pAbAP0827
PLCG1Phospho-PLC gamma 1 (PLCG1)-Y783 Rabbit mAbAP1340
PLCG1Phospho-PLC gamma 1 (PLCG1)-Y783 Rabbit pAbAP0164
PLCG2Phospho-PLC gamma 2 (PLCG2)-Y759 Rabbit pAbAP0785
PLCG2Phospho-PLC gamma 2 (PLCG2)-Y1217 Rabbit pAbAP0805
PRKCDPhospho-PKC delta-Y311 Rabbit pAbAP0496
PRKCDPhospho-PKC delta-S645 Rabbit pAbAP0972
PRKCDPhospho-PKC delta-T505 Rabbit pAbAP0776
RAF1Raf1 Rabbit mAbA19638
RAF1Phospho-Raf1-S259 Rabbit mAbAP1012
RAF1Phospho-Raf1-S338 Rabbit pAbAP0498
RAF1Phospho-Raf1-S621 Rabbit mAbAP1011
CHUKIKKα Rabbit mAbA19694
IKBKBIKKβ Rabbit mAbA19606
CHUK/IKBKBPhospho-IKKα/β-S176/180 Rabbit pAbAP0546
IKBKEIKKε Rabbit mAbA3463
MAPK1/MAPK3ERK1/2 Rabbit mAbA4782
MAPK1/MAPK3ERK1 / ERK2 Rabbit pAbA16686
MAPK1/MAPK3Phospho-ERK1-T202/Y204 + ERK2-T185/Y187 Rabbit mAbAP0974
ERK1/ERK2Phospho-ERK1-T202 + ERK2-T185 Rabbit mAbAP0485
MAPK14[KO Validated] p38 MAPK Rabbit mAbA4771
MAPK14p38 MAPK Rabbit mAbA5049
MAPK14Phospho-p38 MAPK-T180/Y182 Rabbit mAbAP1311
MAPK14Phospho-p38 MAPK-T180/Y182 Rabbit pAbAP0526
MAPK8/MAPK9/MAPK10JNK1/2/3 Rabbit mAbA4867
MAPK8/MAPK9/MAPK10Phospho-JNK1/2/3-T183/T183/T221 Rabbit mAbAP0631
转录因子
RELANF-kB p65/RelA Mouse mAbA10609
RELANF-kB p65/RelA Mouse mAbA18210
RELA[KO Validated] NF-kB p65/RelA Rabbit mAbA19653
RELAPhospho-NF-kB p65/RelA-S536 Rabbit mAbAP1294
RELAPhospho-NF-kB p65/RelA-S536 Rabbit pAbAP0124
JUNc-Jun Rabbit pAbA11378
JUNPhospho-c-Jun-S63 Rabbit mAbAP0105
JUNPhospho-c-Jun-T91 Rabbit mAbAP1003
NFATC1NFAT2 Rabbit mAbA19597
NFATC1NFAT2 Rabbit pAbA1539
NFATC2NFATC2 Rabbit pAbA3107
NFATC3NFATC3 Rabbit pAbA6666
NFATC4NFATC4 Rabbit pAbA17511
  • 缩略语注释:
  • FcRγ, Fc Receptor γ‐chain
  • DAP12, DNAX-activation protein 12
  • Syk, spleen tyrosine kinase
  • PLCγ2, phospholipase C gamma 2
  • ROS, reactive oxygen species
  • PIP2, phosphatidylinositol 4,5-bisphosphate
  • IP3, inositol triphosphate
  • DAG, Diacylglycerol
  • PKCδ, Protein kinase C‐δ
  • CARD9, caspase recruitment domain family member 9
  • Bcl10B cell lymphoma 10
  • Malt1, mucosa‐associated lymphoid tissue lymphoma translocation protein 1
  • ASC, apoptosis‐associated speck‐like protein containing a CARD
  • NF-AT, nuclear factor of activated T cells
  • NF-κB, nuclear factor kappa light chain enhancer of activated B cell
  • MAPK, mitogen-activated protein kinase
  • DC, dendritic cells
  • NLRP3, NOD-, LRR- and pyrin domain-containing protein 3
  • Ras-GRF1, Ras protein specific guanine nucleotide releasing factor 1
  • ERK, extracellular signal-regulated protein kinase
  • PRR, pathogen recognition receptor
  • TLR, Toll-like receptor
  • 参考文献:
  • 1.PLoS Pathog. (2017)13:e1006333.
  • 2.Viruses. (2017) 9(3). pii: E59.
  • 3.Front Immunol. (2018) 9:123.
  • 4.Immunity. (2012) 36: 32-42.
  • 5.Antioxid Redox Signal. (2015) 22(13):1111-29.
  • 6.Am J Pathol. (2015) 185(1):17-25.
  • 7.J Exp Med. (2014) 211(11):2307-21.