
ABclonal基于第四代重组兔单抗SMab®技术平台,以ISO9001和ISO13485质量管理体系标准,为科研工作者研发并生产了一系列高特异性和高稳定性重组单克隆和多克隆抗体产品,这些抗体已针对多种应用进行了全面验证,用于神经谱系、神经退行性疾病(阿尔兹海默症、帕金森氏症、神经炎症)、神经发生、神经营养等神经生物学研究!
神经谱系
中枢神经系统由神经元和胶质细胞组成,神经元主要功能是传递信息,胶质细胞可为神经元提供物理和营养支持。在神经系统发育过程中,神经干细胞(NSC)能够分化为多种神经系,包括神经祖细胞、各类神经元细胞、星形胶质细胞和少突胶质细胞。小胶质细胞在发育过程中迁移到中枢神经系统,参与正常神经系统功能的建立,以及炎症反应。神经谱系标志物可对不同神经细胞类型进行标记和研究,获取关于其形态特征和特定蛋白质表达的信息,从而了解神经系统的分子、细胞和功能过程及其在发育、衰老和疾病中的作用。
神经退行性疾病
神经退行性疾病是一类发生在神经系统中,造成神经元及其附属树突、轴突和突触,以及遍布神经系统的胶质细胞发生损伤或者功能失常的疾病;包括帕金森病(PD)、阿尔茨海默病(AD)、亨廷顿氏病(HD)、肌萎缩侧索硬化症(ALS)等;神经退行性疾病的致病机制复杂,包括蛋白质聚集、神经炎症和线粒体功能障碍等;严重影响身体的活动性、记忆和情绪控制,威胁人类健康与日常生活。
| 类型 |
|
||||||||||||||||||||||||||||||||||||||||||||||||||||||||||||||||||||||
|---|---|---|---|---|---|---|---|---|---|---|---|---|---|---|---|---|---|---|---|---|---|---|---|---|---|---|---|---|---|---|---|---|---|---|---|---|---|---|---|---|---|---|---|---|---|---|---|---|---|---|---|---|---|---|---|---|---|---|---|---|---|---|---|---|---|---|---|---|---|---|---|
| 帕金森症 |
|
||||||||||||||||||||||||||||||||||||||||||||||||||||||||||||||||||||||
| 阿尔兹海默症 |
|
||||||||||||||||||||||||||||||||||||||||||||||||||||||||||||||||||||||
| 亨廷顿舞蹈症 |
|
||||||||||||||||||||||||||||||||||||||||||||||||||||||||||||||||||||||
| 肌肉萎缩性侧面硬化病 |
|
||||||||||||||||||||||||||||||||||||||||||||||||||||||||||||||||||||||
神经传递
神经传递是神经元之间接收和传递电化学信号的重要过程,一个神经元产生动作电位后,沿着轴索传导,然后通过神经突触释放神经递质传递相应的信号,从而影响另一个神经元或效应细胞,神经传递使神经元能够相互交流。根据神经元释放的信号类型,可将神经元分为兴奋性神经元或抑制性神经元。这些信号能够超极化或去极化它们的靶标神经元。对于了解和研究神经元分类的特征包括神经元极性、形态、解剖学定位、蛋白表达谱以及信息定向流具有重要作用;可以为神经递质及其受体,神经传递异常引起的相关疾病的研究助力。
| 研究靶点 | 产品货号 | 产品名称 | 应用 | 反应种属 |
|---|
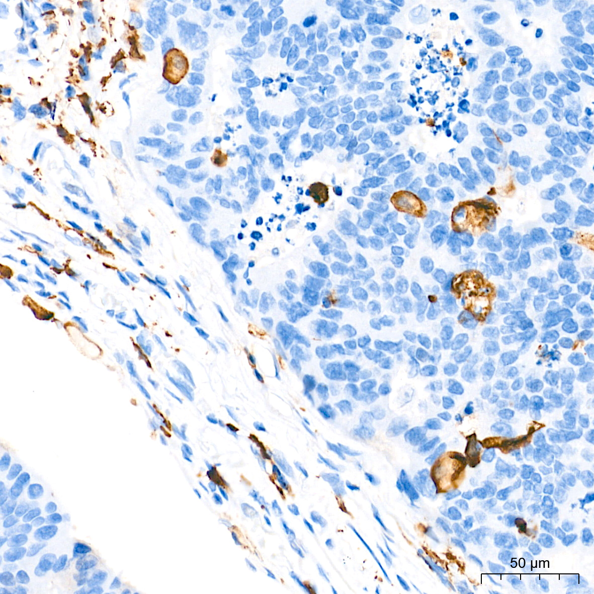
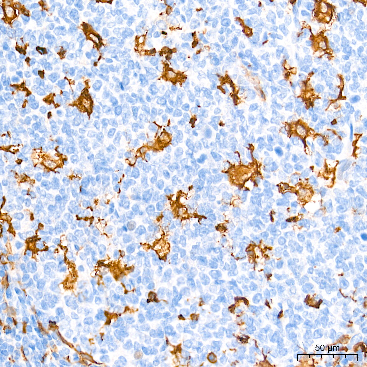
神经炎症
神经炎症是小胶质细胞和星形胶质细胞在中枢神经系统(CNS,即大脑和脊髓)中激活的免疫反应。小胶质细胞和星形胶质细胞是中枢神经系统的常驻免疫细胞,在发育、成年和衰老过程中对大脑内稳态的调节发挥重要作用。神经炎症一般在CNS受损、感染、毒素的刺激下或在自身免疫的作用下会出现。瞬时神经炎症信号转导在发育和损伤后组织修复期间起到保护作用;慢性神经炎症与阿尔茨海默病、帕金森病等神经退行性疾病的进展有关。
| 研究靶点 | 产品货号 | 产品名称 | 应用 | 反应种属 |
|---|
神经营养
神经营养因子( Neurotrophin, NT)是一类由神经支配的组织(如肌肉)和星形胶质细胞产生的且为神经元生长与存活所必需的蛋白质分子。神经营养因子通常在神经末梢以受体介导入胞的方式进入神经末梢,再经逆向轴浆运输抵达胞体,促进神经元胞体有关蛋白质的合成,从而发挥其支持神经元生长、发育、存活和功能完整性的作用。神经营养因子家族,包括神经生长因子(NGF),脑源性神经营养因子(BDNF),神经营养因子-3(NT-3)和神经营养因子-4/5(NT-4/5)。其中神经生长因子和脑源性营养因子为主的因子,在中枢神经系统和周围神经系统的营养、生长和发育环节,起着关键的作用,这两类主要的神经营养因子对妊娠毒血症、妊娠糖尿病、肥胖症、产后抑郁症、焦虑症等具有调控功能。
| 研究靶点 | 产品货号 | 产品名称 | 应用 | 反应种属 |
|---|
神经发生
神经发生是大脑中新神经元形成的过程。在哺乳动物中,生理性成年神经发生起源于神经干细胞。在成人大脑中,神经发生主要位于两个特殊的部位,即海马齿状回颗粒下区(SGZ)和邻近侧脑室的脑室下区(SVZ)。SGZ可以分化为颗粒细胞,产生树突、轴突,形成突触联系,整合到海马功能的神经环路中,参与海马的学习记忆等重要的功能活动。SVZ是一层沿侧脑室侧壁延伸的分裂细胞,神经元可产生于SVZ各处,参与嗅觉的记忆与学习。成人神经发生的受阻被认为是造成海马体病变的致病因素,与颞叶癫痫、抑郁症和痴呆等疾病有关。
| 研究靶点 | 产品货号 | 产品名称 | 应用 | 反应种属 |
|---|