
氧化还原反应是一种广泛应用于生物、化学和环境领域的重要反应类型。在生物体内,氧化还原反应发生在细胞代谢中起着至关重要的作用。通过氧化还原反应,细胞能够将营养物质氧化分解为小分子,并从中获取能量。同时,氧化还原反应还参与了细胞内各种生物分子的合成和分解过程,如蛋白质、糖类、脂肪等。因此,氧化还原反应是身体所有细胞代谢的基础,它不仅参与了细胞内各种化学反应的进行,还为身体的正常运转提供了能量和物质支持。
根据“衰老自由基理论”,细胞产生的ROS的有害影响直接参与了衰老过程。活性氧簇(ROS),特别是羟基和过氧自由基、过氧化氢和超氧自由基阴离子,长期以来一直与对细胞脂质、DNA和蛋白质以及其他细胞成分造成的氧化损伤有关。由ROS的过良形成和有限的抗氧化防御之间的不平衡引起的氧化应激,与许多疾病的病理过程有关。
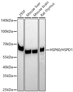
氧化还原稳态和氧化应激关键研究靶点
氧化还原稳态和氧化应激相关研究工具
| 名称 | 应用 | 货号 |
|---|---|---|
| Lipid Peroxidation MDA Assay Kit {脂质氧化(MDA)检测试剂盒} | 脂质氧化水平检测 | RK05818 |
| GSH and GSSG Assay Kit {GSH和GSSG检测试剂盒} | GSH和GSSG测定 | RK05819 |
| Cellular Glutathione Peroxidase Assay Kit with NADPH {谷胱甘肽过氧化物酶检测试剂盒} | GPx活性测定 | RK05820 |
| Total Glutathione Peroxidase Assay Kit with NADPH {总谷胱甘肽过氧化物酶检测试剂盒} | 总GPx活性测定 | RK05821 |
| Glutathione Reductase Assay Kit with DTNB {谷胱甘肽还原酶检测试剂盒(DTNB法)} | 谷胱甘肽过氧化物酶活性测定 | RK05822 |
| C11 BODIPY 581/591 脂质过氧化荧光探针 | 脂质过氧化测定 | RM02821 |
| GSH(glutathione,reduced) {GSH(抗氧化剂)} | 抗氧化剂 | RM02881 |
当核糖体合成新生蛋白质时,分子伴侣帮助新生的蛋白质和未折叠的蛋白质折叠并达到它们的天然结构。可能在某些情况下(例如在不断变化的环境中,由于突变或异常的蛋白翻译后修饰),蛋白会发生错误折叠。错误折叠的蛋白和淀粉样蛋白聚集体,可以通过泛素蛋白酶体系统(UPS)和自噬途径降解。但是,如果蛋白质量控制系统失败,错误折叠蛋白就会积累,细胞最终就会发生凋亡。
当细胞面临多种应激压力,会造成内质网当中未折叠蛋白的积累,并会激活一系列的适应性信号通路,称为未折叠蛋白反应(unfolded protein response)或内质网应激反应(ER stress response)。作为重建内质网稳态的尝试,一系列适应性过程同时被激活。第一道防线是通过几个跨膜和内质网腔内的分子伴侣(特别是GRP78/BiP),将未折叠蛋白转移到内质网相关蛋白降解途径(ERAD),通过Sec61通道转运回胞浆,然后通过多泛素化修饰被26S蛋白酶体降解。与此同时,未折叠蛋白反应(UPR)会造成GRP78/BiP与三个跨膜感受器IRE-1、PERK和ATF6的内质网腔结构域的结合减弱或脱离,就会启动不同分支的下游信号通路。
蛋白折叠与内质网应激关键研究靶点
| 分类 |
|
||||||||||||||||||||||||||||||||||||||||||||
|---|---|---|---|---|---|---|---|---|---|---|---|---|---|---|---|---|---|---|---|---|---|---|---|---|---|---|---|---|---|---|---|---|---|---|---|---|---|---|---|---|---|---|---|---|---|
| 蛋白折叠分子伴侣 |
|
||||||||||||||||||||||||||||||||||||||||||||
| 内质网应激反应 |
|
||||||||||||||||||||||||||||||||||||||||||||
自噬是真核生物中一种进化上保守的细胞内降解系统,它响应各种胁迫和刺激并维持细胞、组织和生物体的平衡。自噬可以被细胞外或细胞内多种信号和应激(例如饥饿、生长因子剥夺、内质网应激和病原体感染等)诱导发生,参与细胞成分循环利用,还参与各种生物体的发育、分化和组织重塑。自噬可分为三种主要类型:巨自噬、微自噬和伴侣介导的自噬(CMA)。
自噬体的形成和周转涉及进化保守的自噬相关基因Atg,并可分为不同的阶段,包括自噬体起始、成核、自噬体膜的扩张和延伸、自噬体膜的封闭和与溶酶体的融合、以及自噬体内容物的降解。
细胞自噬关键研究靶点
| 靶点 | 名称 | 应用 | 货号 |
|---|
自噬相关小分子抑制剂
| 靶点 | 名称 | 应用 | 货号 |
|---|