
首页 / 研究领域 / Endocrine & Metabolism / Amino acid metabolism
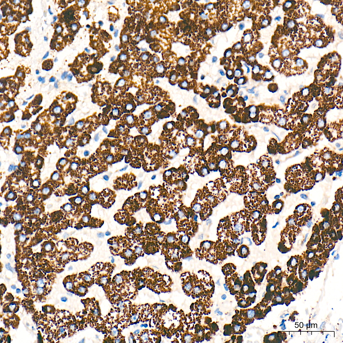
Catalog:A1847
GeneID:383
Application:WBIHC-PIF/ICCIPChIPChIP-seqRIPFCFC (intra)ELISA(ELISA)MeDIPNucleotide ArrayDBFACSCoIPFCMCUT&TagmeRIPInhibitionSlot blotmIHCIF-PIF-FIHC-F
Reactivity:Human,Mouse,Rat
Synonyms:ARG1; arginase-1; Arginase 1 (ARG1)
Type:Rabbit Polyclonal Antibody
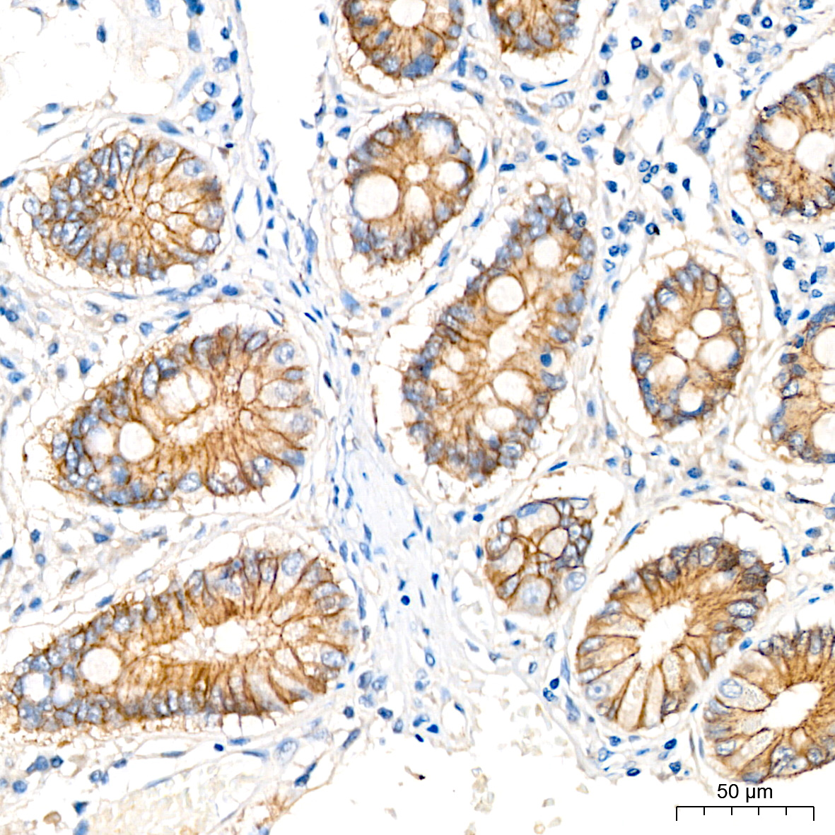
Catalog:A13685
GeneID:23657
Application:WBIHC-PIF/ICCIPChIPChIP-seqRIPFCFC (intra)ELISA(ELISA)MeDIPNucleotide ArrayDBFACSCoIPFCMCUT&TagmeRIPInhibitionSlot blotmIHCIF-PIF-FIHC-F
Reactivity:Human, Mouse, Rat
Synonyms:xCT; CCBR1; SLC7A11/xCT
Type:Rabbit Polyclonal Antibody
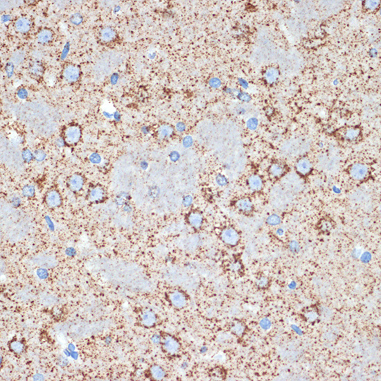
Catalog:A12756
GeneID:7054
Application:WBIHC-PIF/ICCIPChIPChIP-seqRIPFCFC (intra)ELISA(ELISA)MeDIPNucleotide ArrayDBFACSCoIPFCMCUT&TagmeRIPInhibitionSlot blotmIHCIF-PIF-FIHC-F
Reactivity:Human, Mouse, Rat
Synonyms:TYH; DYT14; DYT5b; Tyrosine Hydroxylase
Type:Rabbit Polyclonal Antibody
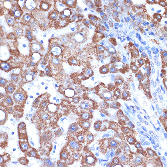
Catalog:A0028
GeneID:7054
Application:WBIHC-PIF/ICCIPChIPChIP-seqRIPFCFC (intra)ELISA(ELISA)MeDIPNucleotide ArrayDBFACSCoIPFCMCUT&TagmeRIPInhibitionSlot blotmIHCIF-PIF-FIHC-F
Reactivity:Human, Mouse, Rat
Synonyms:TYH; DYT14; DYT5b; Tyrosine Hydroxylase
Type:Rabbit Polyclonal Antibody
Catalog:A13297
GeneID:1743
Application:WBIHC-PIF/ICCIPChIPChIP-seqRIPFCFC (intra)ELISA(ELISA)MeDIPNucleotide ArrayDBFACSCoIPFCMCUT&TagmeRIPInhibitionSlot blotmIHCIF-PIF-FIHC-F
Reactivity:Human, Mouse, Rat
Synonyms:DLTS; KGD2; PGL7; DLST
Type:Rabbit Polyclonal Antibody
Catalog:A1254
GeneID:7299
Application:WBIHC-PIF/ICCIPChIPChIP-seqRIPFCFC (intra)ELISA(ELISA)MeDIPNucleotide ArrayDBFACSCoIPFCMCUT&TagmeRIPInhibitionSlot blotmIHCIF-PIF-FIHC-F
Reactivity:Human, Mouse, Rat
Synonyms:ATN; CMM8; OCA1; OCA1A; OCAIA; SHEP3; Tyrosinase
Type:Rabbit Polyclonal Antibody
Catalog:A14535
GeneID:2937
Application:WBIHC-PIF/ICCIPChIPChIP-seqRIPFCFC (intra)ELISA(ELISA)MeDIPNucleotide ArrayDBFACSCoIPFCMCUT&TagmeRIPInhibitionSlot blotmIHCIF-PIF-FIHC-F
Reactivity:Human, Mouse, Rat
Synonyms:GSHS; HEL-S-64p; HEL-S-88n; S)
Type:Rabbit Polyclonal Antibody
Catalog:A5314
GeneID:2730
Application:WBIHC-PIF/ICCIPChIPChIP-seqRIPFCFC (intra)ELISA(ELISA)MeDIPNucleotide ArrayDBFACSCoIPFCMCUT&TagmeRIPInhibitionSlot blotmIHCIF-PIF-FIHC-F
Reactivity:Human, Mouse, Rat
Synonyms:GLCLR; GCLM
Type:Rabbit Polyclonal Antibody
Catalog:A7631
GeneID:2746
Application:WBIHC-PIF/ICCIPChIPChIP-seqRIPFCFC (intra)ELISA(ELISA)MeDIPNucleotide ArrayDBFACSCoIPFCMCUT&TagmeRIPInhibitionSlot blotmIHCIF-PIF-FIHC-F
Reactivity:Human, Mouse, Rat
Synonyms:GDH; GDH1; GLUD; hGDH1; GLUD1
Type:Rabbit Polyclonal Antibody
Catalog:A7860
GeneID:255738
Application:WBIHC-PIF/ICCIPChIPChIP-seqRIPFCFC (intra)ELISA(ELISA)MeDIPNucleotide ArrayDBFACSCoIPFCMCUT&TagmeRIPInhibitionSlot blotmIHCIF-PIF-FIHC-F
Reactivity:Human, Mouse, Rat
Synonyms:FH3; PC9; FHCL3; NARC1; LDLCQ1; NARC-1; HCHOLA3; Proprotein Convertase 9(PCSK9)
Type:Rabbit Polyclonal Antibody
Catalog:A10461
GeneID:26227
Application:WBIHC-PIF/ICCIPChIPChIP-seqRIPFCFC (intra)ELISA(ELISA)MeDIPNucleotide ArrayDBFACSCoIPFCMCUT&TagmeRIPInhibitionSlot blotmIHCIF-PIF-FIHC-F
Reactivity:Human, Mouse, Rat
Synonyms:NLS; PDG; PGD; NLS1; PGAD; PGDH; SERA; 3PGDH; 3-PGDH; PHGDHD; HEL-S-113; PHGDH
Type:Rabbit Polyclonal Antibody
Catalog:A6121
GeneID:1491
Application:WBIHC-PIF/ICCIPChIPChIP-seqRIPFCFC (intra)ELISA(ELISA)MeDIPNucleotide ArrayDBFACSCoIPFCMCUT&TagmeRIPInhibitionSlot blotmIHCIF-PIF-FIHC-F
Reactivity:Human, Mouse, Rat
Synonyms:CGL; CSE; Cystathionase/CTH
Type:Rabbit Polyclonal Antibody

Catalog:A11612
GeneID:875
Application:WBIHC-PIF/ICCIPChIPChIP-seqRIPFCFC (intra)ELISA(ELISA)MeDIPNucleotide ArrayDBFACSCoIPFCMCUT&TagmeRIPInhibitionSlot blotmIHCIF-PIF-FIHC-F
Reactivity:Human,
Synonyms:CBSL; HIP4; CBS
Type:Rabbit Monoclonal Antibody
Catalog:A1142
GeneID:226
Application:WBIHC-PIF/ICCIPChIPChIP-seqRIPFCFC (intra)ELISA(ELISA)MeDIPNucleotide ArrayDBFACSCoIPFCMCUT&TagmeRIPInhibitionSlot blotmIHCIF-PIF-FIHC-F
Reactivity:Human, Mouse, Rat
Synonyms:ALDA; GSD12; HEL-S-87p; ALDOA
Type:Rabbit Polyclonal Antibody

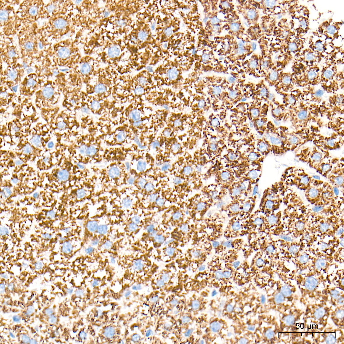
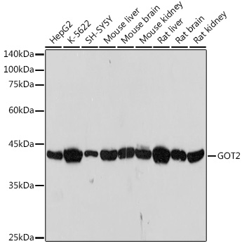
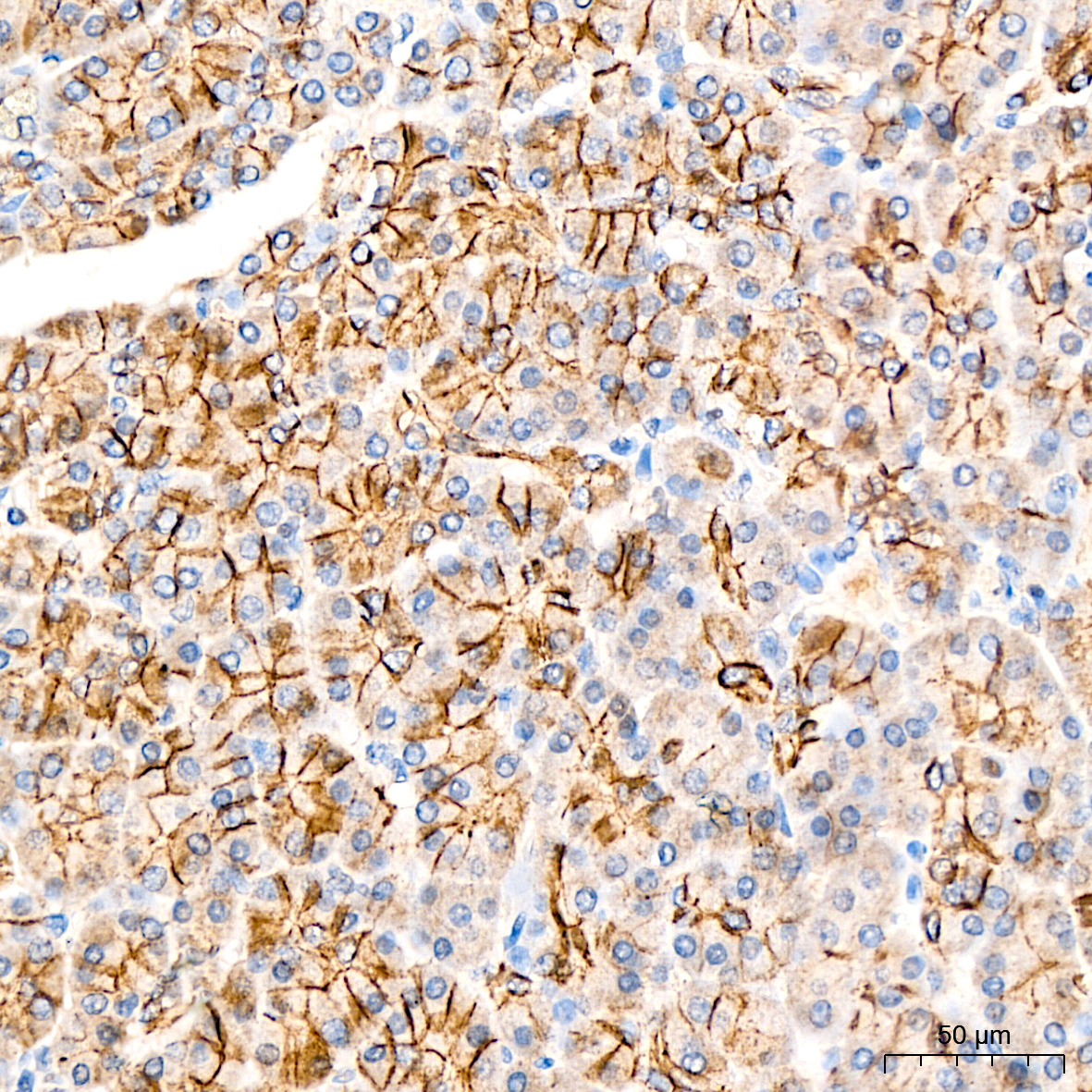
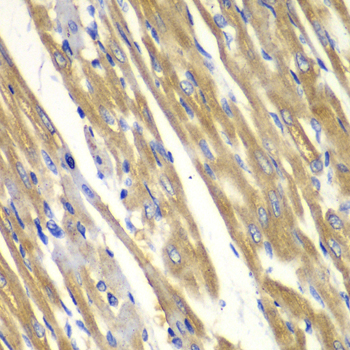
Catalog:A19245
GeneID:2806
Application:WBIHC-PIF/ICCIPChIPChIP-seqRIPFCFC (intra)ELISA(ELISA)MeDIPNucleotide ArrayDBFACSCoIPFCMCUT&TagmeRIPInhibitionSlot blotmIHCIF-PIF-FIHC-F
Reactivity:Human, Mouse, Rat
Synonyms:KAT4; DEE82; KATIV; KYAT4; mitAAT; GOT2
Type:Rabbit Monoclonal Antibody