
首页 / 研究领域 / Epigenetics & Nuclear Signaling / RNA Binding
Catalog:A1926
GeneID:7019
Application:WBIHC-PIF/ICCIPChIPChIP-seqRIPFCFC (intra)ELISA(ELISA)MeDIPNucleotide ArrayDBFACSCoIPFCMCUT&TagmeRIPInhibitionSlot blotmIHCIF-PIF-FIHC-F
Reactivity:Human, Mouse, Rat
Synonyms:TCF6; MTTF1; MTTFA; TCF6L1; TCF6L2; TCF6L3; MTDPS15; TFAM
Type:Rabbit Polyclonal Antibody
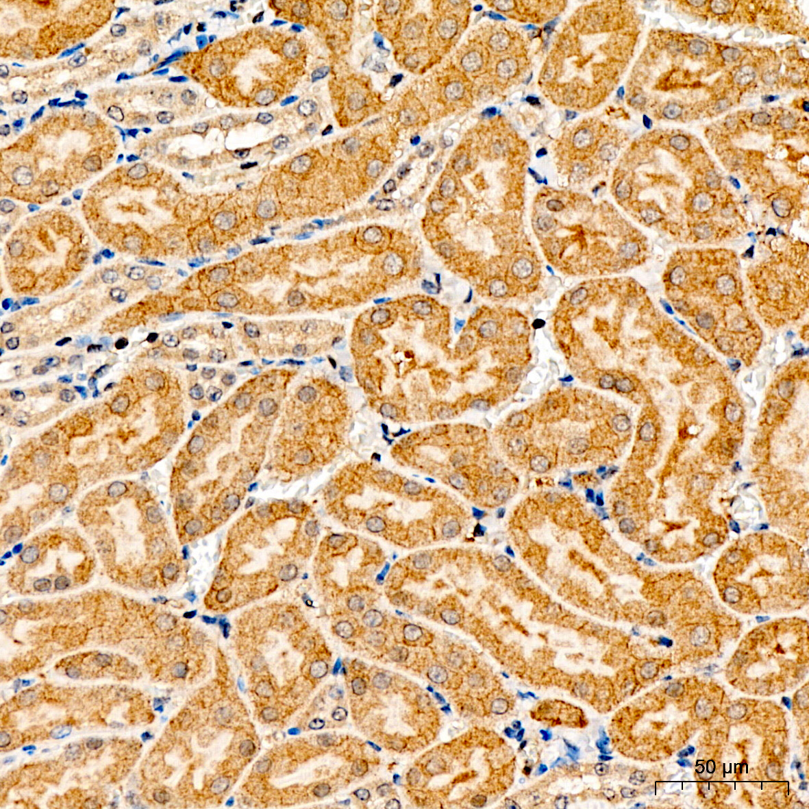
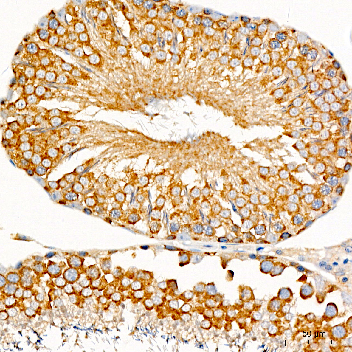
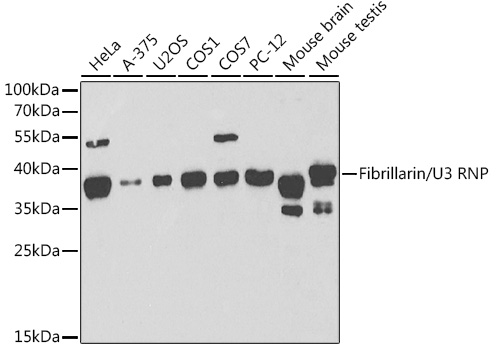
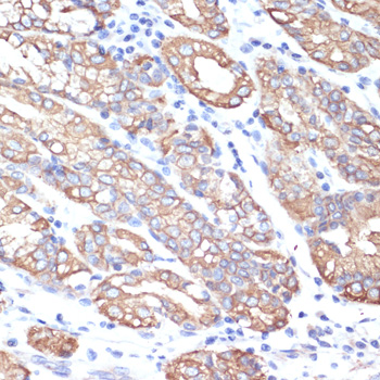
Catalog:A1136
GeneID:2091
Application:WBIHC-PIF/ICCIPChIPChIP-seqRIPFCFC (intra)ELISA(ELISA)MeDIPNucleotide ArrayDBFACSCoIPFCMCUT&TagmeRIPInhibitionSlot blotmIHCIF-PIF-FIHC-F
Reactivity:Human, Mouse, Rat, Monkey
Synonyms:FIB; FLRN; Nop1; RNU3IP1; Fibrillarin/U3 RNP
Type:Rabbit Polyclonal Antibody
Catalog:A1590
GeneID:5770
Application:WBIHC-PIF/ICCIPChIPChIP-seqRIPFCFC (intra)ELISA(ELISA)MeDIPNucleotide ArrayDBFACSCoIPFCMCUT&TagmeRIPInhibitionSlot blotmIHCIF-PIF-FIHC-F
Reactivity:Human, Mouse, Rat
Synonyms:PTP1B; PTPN1
Type:Rabbit Polyclonal Antibody
Catalog:A5006
GeneID:3320
Application:WBIHC-PIF/ICCIPChIPChIP-seqRIPFCFC (intra)ELISA(ELISA)MeDIPNucleotide ArrayDBFACSCoIPFCMCUT&TagmeRIPInhibitionSlot blotmIHCIF-PIF-FIHC-F
Reactivity:Human, Mouse, Rat
Synonyms:EL52; HSPN; LAP2; HSP86; HSPC1; HSPCA; Hsp89; Hsp90; LAP-2; HSP89A; HSP90A; HSP90N; Hsp103; HSPCAL1; HSPCAL4; HEL-S-65p; Hsp90α
Type:Rabbit Monoclonal Antibody
Catalog:AP0537
GeneID:6194
Application:WBIHC-PIF/ICCIPChIPChIP-seqRIPFCFC (intra)ELISA(ELISA)MeDIPNucleotide ArrayDBFACSCoIPFCMCUT&TagmeRIPInhibitionSlot blotmIHCIF-PIF-FIHC-F
Reactivity:Human, Mouse, Rat
Synonyms:S6; eS6; Phospho-S6 Ribosomal Protein (RPS6)-S240/244
Type:Rabbit Polyclonal Antibody
Catalog:A7860
GeneID:255738
Application:WBIHC-PIF/ICCIPChIPChIP-seqRIPFCFC (intra)ELISA(ELISA)MeDIPNucleotide ArrayDBFACSCoIPFCMCUT&TagmeRIPInhibitionSlot blotmIHCIF-PIF-FIHC-F
Reactivity:Human, Mouse, Rat
Synonyms:FH3; PC9; FHCL3; NARC1; LDLCQ1; NARC-1; HCHOLA3; Proprotein Convertase 9(PCSK9)
Type:Rabbit Polyclonal Antibody
Catalog:A5928
GeneID:5431
Application:WBIHC-PIF/ICCIPChIPChIP-seqRIPFCFC (intra)ELISA(ELISA)MeDIPNucleotide ArrayDBFACSCoIPFCMCUT&TagmeRIPInhibitionSlot blotmIHCIF-PIF-FIHC-F
Reactivity:Human, Mouse, Rat
Synonyms:RPB2; POL2RB; hRPB140; POLR2B
Type:Rabbit Polyclonal Antibody
Catalog:A15004
GeneID:64848
Application:WBIHC-PIF/ICCIPChIPChIP-seqRIPFCFC (intra)ELISA(ELISA)MeDIPNucleotide ArrayDBFACSCoIPFCMCUT&TagmeRIPInhibitionSlot blotmIHCIF-PIF-FIHC-F
Reactivity:Human, Mouse, Rat
Synonyms:CAHL; hYTHDC2; YTHDC2
Type:Rabbit Polyclonal Antibody
Catalog:A1022
GeneID:3875
Application:WBIHC-PIF/ICCIPChIPChIP-seqRIPFCFC (intra)ELISA(ELISA)MeDIPNucleotide ArrayDBFACSCoIPFCMCUT&TagmeRIPInhibitionSlot blotmIHCIF-PIF-FIHC-F
Reactivity:Human, Mouse, Rat
Synonyms:K18; CK-18; CYK18; Cytokeratin 18 (KRT18)
Type:Rabbit Polyclonal Antibody

Catalog:A20991
GeneID:5315
Application:WBIHC-PIF/ICCIPChIPChIP-seqRIPFCFC (intra)ELISA(ELISA)MeDIPNucleotide ArrayDBFACSCoIPFCMCUT&TagmeRIPInhibitionSlot blotmIHCIF-PIF-FIHC-F
Reactivity:Human, Mouse, Rat
Synonyms:PK3; TCB; p58; OIP3; PKM2; CTHBP; THBP1; HEL-S-30; PKM2-specific
Type:Rabbit Monoclonal Antibody

Catalog:A23486
GeneID:1728
Application:WBIHC-PIF/ICCIPChIPChIP-seqRIPFCFC (intra)ELISA(ELISA)MeDIPNucleotide ArrayDBFACSCoIPFCMCUT&TagmeRIPInhibitionSlot blotmIHCIF-PIF-FIHC-F
Reactivity:Human, Mouse, Rat
Synonyms:DTD; QR1; DHQU; DIA4; NMOR1; NMORI; NQO1
Type:Rabbit Monoclonal Antibody
Catalog:A1087
GeneID:3326
Application:WBIHC-PIF/ICCIPChIPChIP-seqRIPFCFC (intra)ELISA(ELISA)MeDIPNucleotide ArrayDBFACSCoIPFCMCUT&TagmeRIPInhibitionSlot blotmIHCIF-PIF-FIHC-F
Reactivity:Human, Mouse, Rat
Synonyms:HSP84; HSPC2; HSPCB; D6S182; HSP90B; 0β
Type:Rabbit Polyclonal Antibody
Catalog:A5294
GeneID:1973
Application:WBIHC-PIF/ICCIPChIPChIP-seqRIPFCFC (intra)ELISA(ELISA)MeDIPNucleotide ArrayDBFACSCoIPFCMCUT&TagmeRIPInhibitionSlot blotmIHCIF-PIF-FIHC-F
Reactivity:Human, Mouse, Rat
Synonyms:DDX2A; EIF4A; EIF-4A; eIF4A-I; eIF-4A-I; eIF4A1
Type:Rabbit Polyclonal Antibody
Catalog:AP0745
GeneID:1965
Application:WBIHC-PIF/ICCIPChIPChIP-seqRIPFCFC (intra)ELISA(ELISA)MeDIPNucleotide ArrayDBFACSCoIPFCMCUT&TagmeRIPInhibitionSlot blotmIHCIF-PIF-FIHC-F
Reactivity:Human, Mouse, Rat
Synonyms:EIF2; EIF-2; EIF2A; EIF-2A; EIF-2alpha; Phospho-eIF2α-S51
Type:Rabbit Polyclonal Antibody