
首页 / 研究领域 / Immunology & Inflammation / Jak-Stat-IL-6 Receptor Signaling Pathway
Catalog:A3108
GeneID:4791
Application:WBIHC-PIF/ICCIPChIPChIP-seqRIPFCFC (intra)ELISA(ELISA)MeDIPNucleotide ArrayDBFACSCoIPFCMCUT&TagmeRIPInhibitionSlot blotmIHCIF-PIF-FIHC-F
Reactivity:Human, Mouse, Rat
Synonyms:p52; p100; H2TF1; LYT10; CVID10; LYT-10; NF-kB2; p49/p100; NF-κB2
Type:Rabbit Polyclonal Antibody
Catalog:A11115
GeneID:3569
Application:WBIHC-PIF/ICCIPChIPChIP-seqRIPFCFC (intra)ELISA(ELISA)MeDIPNucleotide ArrayDBFACSCoIPFCMCUT&TagmeRIPInhibitionSlot blotmIHCIF-PIF-FIHC-F
Reactivity:Human, Mouse, Rat
Synonyms:CDF; HGF; HSF; BSF2; IL-6; BSF-2; IFNB2; IFN-beta-2; IL6
Type:Rabbit Polyclonal Antibody
Catalog:AP0135
GeneID:6772
Application:WBIHC-PIF/ICCIPChIPChIP-seqRIPFCFC (intra)ELISA(ELISA)MeDIPNucleotide ArrayDBFACSCoIPFCMCUT&TagmeRIPInhibitionSlot blotmIHCIF-PIF-FIHC-F
Reactivity:Human, Mouse, Rat
Synonyms:CANDF7; IMD31A; IMD31B; IMD31C; ISGF-3; STAT91; Phospho-STAT1-Y701
Type:Rabbit Polyclonal Antibody
Catalog:AP0235
GeneID:5595
Application:WBIHC-PIF/ICCIPChIPChIP-seqRIPFCFC (intra)ELISA(ELISA)MeDIPNucleotide ArrayDBFACSCoIPFCMCUT&TagmeRIPInhibitionSlot blotmIHCIF-PIF-FIHC-F
Reactivity:Human, Mouse, Rat
Synonyms:ERK1; ERT2; ERK-1; PRKM3; P44ERK1; P44MAPK; HS44KDAP; HUMKER1A; p44-ERK1; p44-MAPK; Phospho-ERK1-Y204
Type:Rabbit Polyclonal Antibody
Catalog:A5523
GeneID:207
Application:WBIHC-PIF/ICCIPChIPChIP-seqRIPFCFC (intra)ELISA(ELISA)MeDIPNucleotide ArrayDBFACSCoIPFCMCUT&TagmeRIPInhibitionSlot blotmIHCIF-PIF-FIHC-F
Reactivity:Human, Mouse, Rat
Synonyms:AKT; PKB; RAC; PRKBA; PKB-ALPHA; RAC-ALPHA; AKT1
Type:Rabbit Polyclonal Antibody
Catalog:A11177
GeneID:5295
Application:WBIHC-PIF/ICCIPChIPChIP-seqRIPFCFC (intra)ELISA(ELISA)MeDIPNucleotide ArrayDBFACSCoIPFCMCUT&TagmeRIPInhibitionSlot blotmIHCIF-PIF-FIHC-F
Reactivity:Human, Mouse, Rat
Synonyms:p85; AGM7; GRB1; IMD36; p85alpha; p85-ALPHA; PI3 Kinase p85 alpha
Type:Rabbit Polyclonal Antibody
Catalog:AP0301
GeneID:1956
Application:WBIHC-PIF/ICCIPChIPChIP-seqRIPFCFC (intra)ELISA(ELISA)MeDIPNucleotide ArrayDBFACSCoIPFCMCUT&TagmeRIPInhibitionSlot blotmIHCIF-PIF-FIHC-F
Reactivity:Human, Mouse
Synonyms:ERBB; ERRP; HER1; mENA; ERBB1; PIG61; NISBD2; Phospho-EGFR-Y1068
Type:Rabbit Polyclonal Antibody
Catalog:A0027
GeneID:6772
Application:WBIHC-PIF/ICCIPChIPChIP-seqRIPFCFC (intra)ELISA(ELISA)MeDIPNucleotide ArrayDBFACSCoIPFCMCUT&TagmeRIPInhibitionSlot blotmIHCIF-PIF-FIHC-F
Reactivity:Human, Mouse, Rat
Synonyms:CANDF7; IMD31A; IMD31B; IMD31C; ISGF-3; STAT91; STAT1
Type:Rabbit Polyclonal Antibody
Catalog:AP0418
GeneID:4791
Application:WBIHC-PIF/ICCIPChIPChIP-seqRIPFCFC (intra)ELISA(ELISA)MeDIPNucleotide ArrayDBFACSCoIPFCMCUT&TagmeRIPInhibitionSlot blotmIHCIF-PIF-FIHC-F
Reactivity:Human, Mouse
Synonyms:p52; p100; H2TF1; LYT10; CVID10; LYT-10; NF-kB2; p49/p100; Phospho-NF-κB2-S866
Type:Rabbit Polyclonal Antibody
Catalog:AP0284
GeneID:6773
Application:WBIHC-PIF/ICCIPChIPChIP-seqRIPFCFC (intra)ELISA(ELISA)MeDIPNucleotide ArrayDBFACSCoIPFCMCUT&TagmeRIPInhibitionSlot blotmIHCIF-PIF-FIHC-F
Reactivity:Human, Mouse, Rat
Synonyms:P113; IMD44; ISGF-3; PTORCH3; STAT113; Phospho-STAT2-Y690
Type:Rabbit Polyclonal Antibody
Catalog:A1448
GeneID:7018
Application:WBIHC-PIF/ICCIPChIPChIP-seqRIPFCFC (intra)ELISA(ELISA)MeDIPNucleotide ArrayDBFACSCoIPFCMCUT&TagmeRIPInhibitionSlot blotmIHCIF-PIF-FIHC-F
Reactivity:Human, Mouse, Rat
Synonyms:TFQTL1; PRO1557; PRO2086; HEL-S-71p; Transferrin
Type:Rabbit Polyclonal Antibody
Catalog:A11577
GeneID:1956
Application:WBIHC-PIF/ICCIPChIPChIP-seqRIPFCFC (intra)ELISA(ELISA)MeDIPNucleotide ArrayDBFACSCoIPFCMCUT&TagmeRIPInhibitionSlot blotmIHCIF-PIF-FIHC-F
Reactivity:Human
Synonyms:ERBB; ERRP; HER1; mENA; ERBB1; PIG61; NISBD2; FR
Type:Rabbit Polyclonal Antibody
Catalog:A11216
GeneID:6774
Application:WBIHC-PIF/ICCIPChIPChIP-seqRIPFCFC (intra)ELISA(ELISA)MeDIPNucleotide ArrayDBFACSCoIPFCMCUT&TagmeRIPInhibitionSlot blotmIHCIF-PIF-FIHC-F
Reactivity:Human, Mouse, Rat
Synonyms:APRF; HIES; ADMIO; ADMIO1; STAT3
Type:Rabbit Polyclonal Antibody
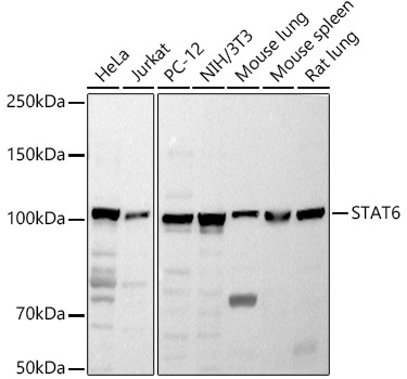
Catalog:A0755
GeneID:6778
Application:WBIHC-PIF/ICCIPChIPChIP-seqRIPFCFC (intra)ELISA(ELISA)MeDIPNucleotide ArrayDBFACSCoIPFCMCUT&TagmeRIPInhibitionSlot blotmIHCIF-PIF-FIHC-F
Reactivity:Human, Mouse, Rat
Synonyms:STAT6B; STAT6C; D12S1644; IL-4-STAT; STAT6
Type:Rabbit Polyclonal Antibody
Catalog:AP0887
Application:WBIHC-PIF/ICCIPChIPChIP-seqRIPFCFC (intra)ELISA(ELISA)MeDIPNucleotide ArrayDBFACSCoIPFCMCUT&TagmeRIPInhibitionSlot blotmIHCIF-PIF-FIHC-F
Reactivity:Human, Mouse, Rat
Synonyms:MGF; STAT5; stat5a/stat5b; Phospho-STAT5-Y694
Type:Rabbit Polyclonal Antibody