
首页 / 研究领域 / Epigenetics & Nuclear Signaling / Epigenetic writers and erasers of core Histones / Dephosphorylation
Catalog:A12468
GeneID:5499
Application:WBIHC-PIF/ICCIPChIPChIP-seqRIPFCFC (intra)ELISA(ELISA)MeDIPNucleotide ArrayDBFACSCoIPFCMCUT&TagmeRIPInhibitionSlot blotmIHCIF-PIF-FIHC-F
Reactivity:Human, Mouse, Rat
Synonyms:PP1A; PP-1A; PPP1A; PP1alpha; PPP1CA
Type:Rabbit Polyclonal Antibody
Catalog:AP0786
GeneID:5499
Application:WBIHC-PIF/ICCIPChIPChIP-seqRIPFCFC (intra)ELISA(ELISA)MeDIPNucleotide ArrayDBFACSCoIPFCMCUT&TagmeRIPInhibitionSlot blotmIHCIF-PIF-FIHC-F
Reactivity:Human, Mouse, Rat
Synonyms:PP1A; PP-1A; PPP1A; PP1alpha; Phospho-PPP1CA-T320
Type:Rabbit Polyclonal Antibody
Catalog:A2184
GeneID:5499
Application:WBIHC-PIF/ICCIPChIPChIP-seqRIPFCFC (intra)ELISA(ELISA)MeDIPNucleotide ArrayDBFACSCoIPFCMCUT&TagmeRIPInhibitionSlot blotmIHCIF-PIF-FIHC-F
Reactivity:Human, Mouse, Rat
Synonyms:PP1A; PP-1A; PPP1A; PP1alpha; PPP1CA
Type:Rabbit Polyclonal Antibody

Catalog:A24288
GeneID:5499
Application:WBIHC-PIF/ICCIPChIPChIP-seqRIPFCFC (intra)ELISA(ELISA)MeDIPNucleotide ArrayDBFACSCoIPFCMCUT&TagmeRIPInhibitionSlot blotmIHCIF-PIF-FIHC-F
Reactivity:Human, Mouse, Rat
Synonyms:PP1A; PP-1A; PPP1A; PP1alpha; PPP1CA
Type:Rabbit Monoclonal Antibody
Catalog:A9534
GeneID:2138
Application:WBIHC-PIF/ICCIPChIPChIP-seqRIPFCFC (intra)ELISA(ELISA)MeDIPNucleotide ArrayDBFACSCoIPFCMCUT&TagmeRIPInhibitionSlot blotmIHCIF-PIF-FIHC-F
Reactivity:Human, Mouse, Rat
Synonyms:BOP; BOR; BOS1; OFC1; EYA1
Type:Rabbit Polyclonal Antibody
Catalog:A7893
GeneID:2140
Application:WBIHC-PIF/ICCIPChIPChIP-seqRIPFCFC (intra)ELISA(ELISA)MeDIPNucleotide ArrayDBFACSCoIPFCMCUT&TagmeRIPInhibitionSlot blotmIHCIF-PIF-FIHC-F
Reactivity:Human, Mouse, Rat
Synonyms:EYA3
Type:Rabbit Polyclonal Antibody
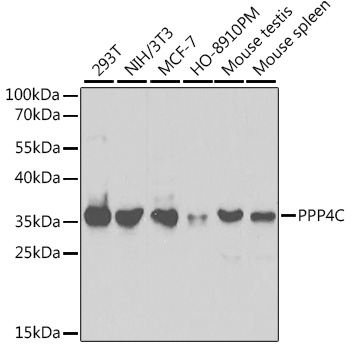
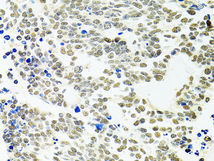
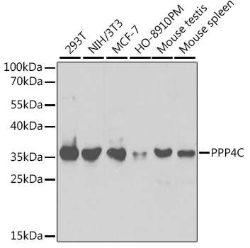
Catalog:A2109
GeneID:5531
Application:WBIHC-PIF/ICCIPChIPChIP-seqRIPFCFC (intra)ELISA(ELISA)MeDIPNucleotide ArrayDBFACSCoIPFCMCUT&TagmeRIPInhibitionSlot blotmIHCIF-PIF-FIHC-F
Reactivity:Human, Mouse, Rat
Synonyms:PP4; PPX; PP-X; PP4C; PPH3; PPP4; PPP4C
Type:Rabbit Polyclonal Antibody
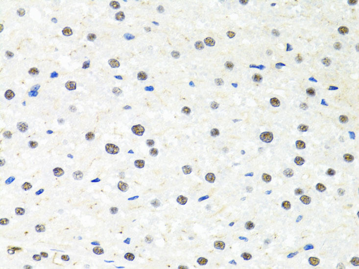
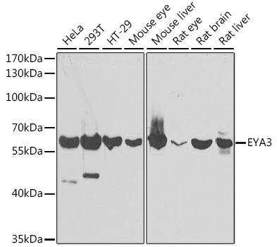
Catalog:A15056
GeneID:2140
Application:WBIHC-PIF/ICCIPChIPChIP-seqRIPFCFC (intra)ELISA(ELISA)MeDIPNucleotide ArrayDBFACSCoIPFCMCUT&TagmeRIPInhibitionSlot blotmIHCIF-PIF-FIHC-F
Reactivity:Human, Rat
Synonyms:EYA3
Type:Rabbit Polyclonal Antibody
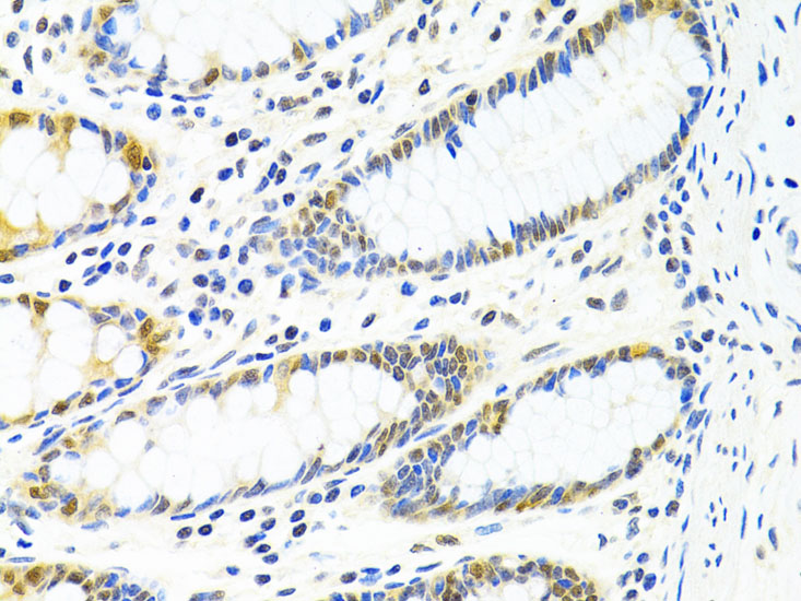
Catalog:A13531
GeneID:5531
Application:WBIHC-PIF/ICCIPChIPChIP-seqRIPFCFC (intra)ELISA(ELISA)MeDIPNucleotide ArrayDBFACSCoIPFCMCUT&TagmeRIPInhibitionSlot blotmIHCIF-PIF-FIHC-F
Reactivity:Human, Mouse, Rat
Synonyms:PP4; PPX; PP-X; PP4C; PPH3; PPP4; PPP4C
Type:Rabbit Polyclonal Antibody

Catalog:AP1438
GeneID:5499
Application:WBIHC-PIF/ICCIPChIPChIP-seqRIPFCFC (intra)ELISA(ELISA)MeDIPNucleotide ArrayDBFACSCoIPFCMCUT&TagmeRIPInhibitionSlot blotmIHCIF-PIF-FIHC-F
Reactivity:Human, Mouse, Rat
Synonyms:PP1A; PP-1A; PPP1A; PP1alpha; Phospho-PPP1CA-T320
Type:Rabbit Monoclonal Antibody